Case Report - Year 2020 - Volume 35 -
Linfoma anaplásico de células grandes associado a implante mamários: um desafio diagnóstico
Breast implant-associated anaplastic large cell lymphoma: a diagnostic challenge
RESUMO
O linfoma anaplásico de grandes células associado a implantes mamários (BI-ALCL) é uma entidade provisória com características morfológicas e imunofenotípicas indistinguíveis do linfoma anaplásico de grandes células ALK-negativo (ALCL), porém surge principalmente em associação com um implante mamário. A confirmação do diagnóstico pode ser difícil, e a associação da presença das células típicas na morfologia e anatomia patológica com exames de citometria de fluxo e imunohistoquímica pode auxiliar no diagnóstico. O objetivo deste estudo é descrever um caso de BI-ALCL em que a citologia e a análise da imunofenotipagem por citometria de fluxo sugeriram a presença de células grandes positivas para CD30 no fluido de efusão.
Palavras-chave: Linfoma anaplásico de células grandes, citometria de fluxo, implante mamário, citologia, ligante CD30
ABSTRACT
Breast implant-associated anaplastic large cell lymphoma (BIA-ALCL) is a provisional entity with morphological and immunophenotypic characteristics indistinguishable from ALK-negative anaplastic large cell lymphoma (ALCL). Unlike ALCL, BIA-ALCL arises mainly in association with breast implantation. Diagnostic confirmation of BIA-ALCL can be difficult and associating morphological and pathological hallmarks with flow cytometry and immunohistochemistry can assist in the diagnosis. The objective of this report is to describe a case of BIA-ALCL in which cytological and immunophenotypological analysis using flow cytometry suggested the presence of large CD30-positive cells in the effusion fluid.
Keywords: Anaplastic large cell lymphoma, Flow cytometry, Breast implant, Cytology, CD30 ligand.
INTRODUÇÃO
A Classificação de Tumores de Tecidos Hematopoiéticos e Linfóides lançado em 2016 pela Organização Mundial da Saúde (OMS)1 reconhece o linfoma anaplásico de células grandes associado a implante mamário (BIA-ALCL) como uma entidade provisória, com características morfológicas e imunofenotípicas indistinguíveis do linfoma anaplásico de células grandes (ALCL) ALK negativo. Diferentemente do ALCL, o BIA-ALCL surge principalmente em associação a implante mamário2.
BIA-ALCL é uma doença muito rara (1 caso por 1-3 milhões de mulheres com implantes), que pode estar localizada na cavidade do seroma ou pode envolver o tecido fibroso pericapsular. A maioria dos pacientes apresenta derrame peri-implantar e com menos frequência apresentam massa. O diagnóstico é realizado aspirando o derrame ao redor do implante e confirmando a positividade para CD30 das células na amostra. No entanto, confirmar o diagnóstico pode ser difícil. A associação da presença de células características com os resultados da citometria de fluxo e imuno-histoquímica pode auxiliar na obtenção de um diagnóstico preciso3-4.
A maioria dos pacientes tem um excelente prognóstico com a remoção completa da cápsula e o implante cirúrgico de uma prótese com margens negativas6.
OBJETIVO
Descrever um caso de BIA-ALCL no qual a análise citológica e citométrica de fluxo sugeriu a presença de células grandes CD30 positivas no líquido de derrame.
RELATO DE CASO
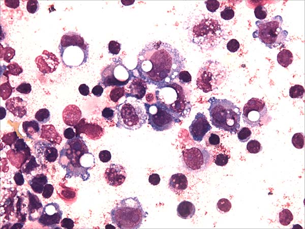
Uma mulher de 52 anos com histórico de câncer de mama apresentou inchaço na mama esquerda e dor local. Sete anos antes, ela havia sido submetida a uma mastectomia radical modificada da mama esquerda e, posteriormente, foi submetida a reconstrução imediata de mama com expansor de tecido. Ela então desenvolveu uma infecção cirúrgica e logo em seguida teve o expansor removido. Seis meses após o término da radioterapia, ela havia sido submetida a outra reconstrução mamária com retalho de grande dorsal e implante texturizado em forma anatômica. Após a apresentação, o exame de imagem revelou derrame peri-implantar. Aproximadamente 100 mL de líquido turvo e amarelo foram coletados e imediatamente enviados ao laboratório de citometria de fluxo. O exame citológico revelou numerosas células anaplásicas grandes com núcleos pleomórficos, nucléolos proeminentes e citoplasma basofílico moderado com vacúolos frequentes (Figura 1). A imunofenotipagem por citometria de fluxo multiparamétrica (MFC) revelou grandes células tumorais (aumento da dispersão FSC/SSC) com expressão brilhante de CD30, CD45, CD25 e HLA-DR, bem como a ausência de expressão de CD3 nas células da linhagem T e falta de antígenos das células B CD19 e CD20 (Figura 2). A paciente foi submetida a remoção bilateral do implante mamário e capsulectomia total. O exame patológico do seroma confirmou a presença de células linfoma grandes agrupadas que eram imuno-histoquimicamente positivas para CD30 e negativas para CD20 e CD3 (Figura 3). No entanto, cortes histológicos da cápsula da mama mostraram apenas fibrina misturada com histiócitos linfáticos reativos infiltrantes.


MFC foi realizado usando um sistema de citometria Becton Dickinson FACS Canto II de 8 cores com o software FACS Diva 8 para aquisição de dados e Infinicyt™ para análise por citometria de fluxo. A população de células neoplásicas exibiu uma co-expressão brilhante de CD30, CD25 e HLA-DR, o que foi confirmado por imuno-histoquímica do líquido do seroma. Embora esse padrão de expressão brilhante possa não ser específico para ALCL, ele é facilmente identificável e, portanto, pode aumentar a sensibilidade da detecção de BI-ALCL.
É importante enfatizar que a amostra da citometria de fluxo foi enviada imediatamente ao laboratório, in natura e à temperatura ambiente, e foi processada imediatamente para evitar a destruição celular e a perda da força do antígeno.
CONCLUSÃO
O BI-ALCL CD30 positivo é um tipo raro de linfoma de células T que continua sendo um desafio diagnóstico. A natureza desafiadora do diagnóstico de BI-ALCL ressalta a importância de correlacionar análises imunofenotípicas precisas com avaliação morfológica e patologia clínica. A citometria de fluxo multiparamétricas pode auxiliar na avaliação diagnóstica de derrames ou de amostras de tecido em associação a implantes / próteses mamárias.
COLABORAÇÕES
|
APDA |
Análise e/ou interpretação dos dados, Aprovação final do manuscrito, Coleta de Dados, Conceitualização, Concepção e desenho do estudo, Gerenciamento de Recursos, Realização das operações e/ou experimentos, Redação - Preparação do original, Redação - Revisão e Edição |
|
AG |
Análise e/ou interpretação dos dados, Aprovação final do manuscrito, Coleta de Dados, Concepção e desenho do estudo, Redação - Revisão e Edição |
|
JJ |
Análise e/ou interpretação dos dados, Coleta de Dados, Redação - Revisão e Edição |
|
FG |
Análise e/ou interpretação dos dados, Aprovação final do manuscrito, Coleta de Dados |
|
SKN |
Análise e/ou interpretação dos dados, Aprovação final do manuscrito, Coleta de Dados, Gerenciamento de Recursos |
REFERÊNCIAS
1. Swerdlow SH, Campo E, Harris NL, Jaffe ES, Pileri SA, Stein H, et al. World Health Organization (WHO) - Classification of tumors of haematopoietic and lymphoid tissues. Geneva: WHO; 2016. v. 2.
2. Taylor CR, Siddiqi IN, Brody GS. Anaplastic large cell lymphoma occurring in association with breast implants: review of pathologic and immunohistochemical features in 103 cases. Appl Immunohistochem Mol Morphol. 2013;21(1):13-20.
3. Wu D, Allen C, Fromm JR. Flow cytometry of ALK-negative anaplastic large cell lymphoma of breast implant-associated effusion and capsular tissue. Cytometry Part B Clin Cytom 2015;88(1):58-63.
4. Montgomery-Goecker C, Fuda F, Krueger JE, Chen W. Immunophenotypic characteristics of breast implant-associated anaplastic large-cell lymphoma by flow cytometry. Cytometry Part Clin Cytom. 2015;88(5):291-3.
5. Miranda RN, Aladily TN, Prince HM, Kanagal-Sharmanna R, Jong D, Fayad LE, et al. Breast implant-associated anaplastic large cell lymphoma: long term follow-up of 60 patients. J Clin Oncol. 2014;32(2):114-20.
6. Kaartinen I, Sunela K, Alanko J, Hukkinen K, Karjalainen-Lindsberg ML, Svarvar C. Breast implant-associated anaplastic large cell lymphoma - From diagnosis to treatment. Eur J Surg Oncol. 2017;43(8):1385-92.
1. Hospital Nossa Senhora das Graças, Curitiba, PR, Brasil.
2. Hospital de Clínicas da Universidade Federal do Paraná, Curitiba, PR, Brasil.
3. Hospital Erasto Gaertner, Curitiba, PR, Brasil.
Autor correspondente: Anne Karoline Groth Rua Padre Anchieta, 2050, Sala 1512, Curitiba, PR, Brasil. CEP: 80730-000. E-mail: altinofn@hotmail.com
Artigo submetido: 5/12/2018.
Artigo aceito: 16/4/2019.
Conflitos de interesse: não há.







Read in Portuguese
Read in English
PDF PT
Print
Send this article by email
How to Cite
Mendeley
Pocket
Twitter