Special Article - Year 2021 - Volume 36 -
O papel da ressonância magnética na avaliação da gluteoplastia: aspectos habituais e complicações
The role of magnetic resonance in the evaluation of gluteoplasty: habitual aspects and complications
RESUMO
Introdução: Os procedimentos estéticos na região glútea têm ganhado evidência nas últimas décadas, com aumento da procura e aparecimento de novas técnicas. Somado ao desenvolvimento e maior facilidade de acesso aos métodos de imagem, assim como a crescente judicialização da medicina, tornam-se cada vez mais frequentes os exames de imagem nos pacientes submetidos a gluteoplastia, com destaque atualmente para a avaliação por ressonância magnética desta região. Dessa forma, a imagem entra cada vez mais na prática clínica diária do cirurgião plástico, requerendo do mesmo conhecimentos sobre conceitos básicos em relação à solicitação e interpretação dos exames. Neste artigo, revisamos aspectos de imagem por ressonância magnética de procedimentos estéticos da região glútea, bem como suas complicações. O objetivo é ilustrar através de estudos de ressonância magnética os achados habituais nos procedimentos de gluteoplastia, bem como algumas de suas complicações, além de propor um protocolo de exame por ressonância magnética da região. Foram selecionados selecionados casos ilustrativos de pacientes que se submeteram a procedimentos de gluteoplastia, sejam eles aprovados, off-label ou mesmo ilícitos, e que fizeram estudo de ressonância magnética em nosso serviço. Foi realizada ainda revisão bibliográfica sobre o tema.
Palavras-chave: Cirurgia Plástica; Imagem por Ressonância Magnética; Radiologia; Elastômeros de Silicone; Óleos de Silicone
ABSTRACT
Introduction: Aesthetic procedures in the gluteal region are increasingly in evidence in recent decades with the augment in demand and the emergence of new techniques. This fact, coupled with the development and easier access to imaging methods and the increasing judicialization of medicine, makes imaging exams more frequent in patients undergoing gluteoplasty, with an emphasis currently on magnetic resonance imaging in this region. Thus, the image increasingly enters the plastic surgeon's daily clinical practice, requiring knowledge of basic concepts regarding the request and interpretation of the exams. In this article, we reviewed aspects of magnetic resonance imaging of aesthetic procedures in the gluteal region and their complications. The objective is to, through magnetic resonance studies, the usual findings in gluteoplasty procedures, as well as some of their complications, in addition to proposing an examination protocol for magnetic resonance imaging in the region. Illustrative cases of patients who underwent gluteoplasty procedures, whether approved, off-label or even illicit, were selected, in which we conducted a magnetic resonance study in our service. A bibliographic review was also done on the topic.
Keywords: Plastic Surgery; Magnetic resonance imaging; Radiology; Silicone elastomers; Silicone Oils.
INTRODUÇÃO
Os procedimentos estéticos na região glútea têm ganhado evidência nas últimas décadas, nos Estados Unidos da América, observou-se um incremento de 86% nos anos de 2013 para 2014, atingindo no ano de 2014 o número de 21446 procedimentos de gluteoplastia1, no Brasil, no período de 2008 a 2011, segundo dados da sociedade brasileira de Cirurgia Plástica houve um aumento de 20% no número de procedimentos2.
Esse aumento da procura pelo procedimento somado ao desenvolvimento de novas técnicas e maior facilidade de acesso aos métodos de imagem, tornam-se cada vez mais frequentes os exames de imagem nos pacientes submetidos à gluteoplastia, com destaque atualmente para a avaliação por ressonância magnética desta região. Dessa forma, a imagem entra cada vez mais na prática clínica diária do cirurgião plástico, requerendo do mesmo conhecimento sobre conceitos básicos em relação à solicitação e interpretação dos exames.
Neste artigo, revisamos aspectos de imagem por ressonância magnética de procedimentos estéticos da região glútea, bem como suas complicações.
OBJETIVO
Ilustrar através de estudos de ressonância magnética os achados habituais nos procedimentos de gluteoplastia, bem como algumas de suas complicações, além de propor um protocolo de sequências de ressonância magnética a serem realizadas para melhor avaliação da região, considerando as particularidades de cada suspeita do médico solicitante e de cada procedimento realizado.
MÉTODOS
Foram selecionados casos ilustrativos de pacientes que se submeteram a procedimentos de gluteoplastia, sejam eles aprovados, off-label ou mesmo ilícitos3, e que fizeram estudo de ressonância magnética dentro dos laboratórios do grupo Fleury (marca Fleury, Amais e no serviço de imagem do Hospital Alemão Oswaldo Cruz, localizados na cidade de São Paulo) no período compreendido de 2016 a 2019, não sendo a totalidade dos casos observados, mais sim os casos mais representativos em relação aos achados de imagem.
Os pacientes realizaram os exames de ressonância magnética em equipamentos de fabricantes diferentes, sendo todos com 1,5 Tesla e o protocolo realizado para aquisição de imagem foi o que propomos a ser realizado (Figura 1), compreendendo para cada suspeita e tipo de implante adições de sequências ao protocolo padrão usualmente realizado para os casos. O tipo de procedimento que o paciente foi submetido foi adquirido através do preenchimento de questionário dirigido realizado anteriormente a realização do exame e através das informações contidas no pedido médico, quando necessário foi realizado contato com o médico solicitante para complementar as informações necessárias.
Os exames dos pacientes foram avaliados por pelo menos dois radiologistas com subespecialidade em radiologia de musculoesquelético, com experiência de 5 e 15 anos dentro da subespecialidade e titulados pelo colégio brasileiro de radiologia.
DISCUSSÃO
O implante de silicone, a lipoenxertia e os denominados local flaps são métodos cirúrgicos reconhecidos na literatura com o intuito de aumentar a projeção da região glútea. Métodos minimamente invasivos com a utilização de materiais de preenchimento, por sua vez, vêm ganhando espaço nos últimos anos, fazendo parte da prática clínica de muitos profissionais. Já o uso de silicone líquido injetável aplicado por indivíduos não médicos, ou mesmo a aplicação de materiais de preenchimento por profissionais sem especialização adequada, infelizmente ainda são uma realidade brasileira, resultando em complicações muitas vezes graves4.
Independentemente do tipo de procedimento realizado, todos estão sujeitos a complicações, sendo as mais comuns: formação de seroma ou hematoma, infeção, migração do material, reação inflamatória/corpo estranho, compressão do feixe vasculonervoso, dentre outros. No caso específico dos implantes de silicone podemos ter ainda rotura, deslocamento e contratura capsular5.
Para análise pelo método de ressonância magnética (RM), temos basicamente as sequências na ponderação T1, na qual a gordura aparece com alto sinal (“branca”) e demonstra de forma mais conspícua a anatomia, e as sequências ponderadas em T2 com supressão da gordura, na qual a gordura aparece com baixo sinal (“escura”), sendo que as áreas que contém líquido ou edema brilham (sequências sensíveis a líquido). Outras sequências adicionais são empregadas a depender de cada caso em particular, sendo elas as sequências específicas para silicone, as sequências pós-contraste e as volumétricas, para esse tipo de avaliação mais específico, sugerimos seguir o protocolo conforme colocado na Figura 1.
Vale destacar que tal protocolo consiste somente em uma sugestão baseada na prática de diagnósticos por imagem realizados em nosso serviço, não tendo sido realizado nenhuma validação do presente protocolo, correspondendo a uma limitação relevante do estudo.
Implante de silicone:
Estruturalmente, os implantes de silicone são compostos por um invólucro de elastômero de silicone sólido contendo um gel de silicone no seu interior6. Nos Estados Unidos, diferentemente do Brasil e de outros países, apenas o implante de elastômero de silicone sólido é aprovado para as gluteoplastias7, em detrimento do gel de silicone e o implante com salina.
Nas imagens de tomografia computadorizada (TC), os implantes são discretamente hiperdensos em comparação com o músculo6,8, e demonstram intensidade de sinal intermediária nas imagens de RM ponderadas em T1 e T29.
A ressonância magnética é a modalidade de imagem mais precisa para avaliação não invasiva da integridade do implante9.
Na Figura 2, apresentamos um esquema do posicionamento habitual a ser visto nos cortes axiais de ressonância magnética para os dois tipos mais comuns de localização dos implantes glúteos, nos espaços intramuscular ou subfascial. Na Figura 3 trazemos a apresentação habitual no corte axial de uma paciente com implante intramuscular, nas sequências ponderadas em T1 e em T2.
Na Figura 4 demonstramos de modo esquemático, como são vistos os implantes intramusculares nas sequências ponderadas em T1, no plano axial e também no plano sagital.
Os protocolos de ressonância magnética para avaliação do implante glúteo incluem sequencias semelhantes às utilizadas para avaliação do implante de mamas, com sequencias tanto para supressão do sinal do silicone, quanto para acentuação do seu sinal6,9.
As seqüências seletivas para silicone incluem a supressão do sinal de água e gordura, o que aumenta o contraste entre o silicone e os tecidos circundantes. Da mesma forma, uma sequência que suprime o sinal de silicone fornece um meio suplementar útil para confirmar se o silicone extracapsular está presente, por exemplo9.
A profundidade do posicionamento dos implantes de silicone varia por localização anatômica e tem implicações com relação aos tipos de complicações observadas após a cirurgia. Podem ser inseridos mais comumente nos espaços intramuscular ou subfascial10,11 (Figura 2).
A colocação intramuscular do implante, em um plano criado dentro das fibras do músculo glúteo, é a mais popular atualmente, pois proporciona resultados estéticos satisfatórios e menor prevalência de complicações10,11 .
Uma revisão sistemática da literatura relatou taxas de complicações para diferentes locais de colocação das próteses: 55% para subfascial, 18% para intramusculares, 18% para métodos submusculares e 13% para métodos com a técnica intramuscular XYZ11.
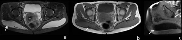
Oranges et al10 por sua vez, fizeram revisão da literatura que evidenciou uma taxa global de complicações de 30,5% para cirurgias estéticas de implante glúteo, sendo as mais prevalentes: deiscência da ferida operatória (8,1%), seroma (4,4%), infecção (3,2%) (Figura 5) e revisão do implante (3,1%). Outras complicações relatadas, porém, menos frequentes, são: rotura da prótese (Figura 6), deslocamento (Figura 7) e contratura (Figura 8).




Possivelmente por apresentar um percentual de complicações ainda considerado alto, um pós-operatório mais limitante com afastamento das atividades habituais por mais tempo em relação a outras técnicas, além de cicatrizes grandes, o número de procedimentos vem caindo nos últimos dois anos nos Estados Unidos. O número de procedimentos reduziu em 56% de 2016 a 2017, e 28% de 2017 a 2018, com menos de mil procedimentos sendo realizados neste último ano12.
Lipoenxertia autóloga:
A lipoenxertia autóloga caracteriza-se por um procedimento de coleta de gordura de local onde a remoção é esteticamente desejada, como o abdome ou coxas, e transferência para outras áreas para aumento no mesmo paciente, comumente nas nádegas. No mercado americano, o método é conhecido como “Brazilian buttock lift”13.
O número de procedimentos aumentou, nos Estados Unidos, em 10% de 2016 a 2017, e 19% de 2017 a 2018, com mais de 24 mil procedimentos sendo realizados neste último ano, de acordo com a Sociedade Americana de Cirurgiões Plásticos12.
Melhores resultados estéticos são obtidos através da combinação de injeções subcutâneas, subdérmicas e intramusculares para gluteoplastia de aumento14,15.
Nas imagens de TC ou RM (Figura 9), a gordura enxertada no subcutâneo é de difícil caracterização, devido às características semelhantes com o tecido celular subcutâneo. Ao contrário, a gordura injetada na região intramuscular é facilmente identificada pelos dois métodos, como focos lobulares de gordura macroscópica, com densidade característica baixa na tomografia (valores de - 150 a -50 unidades Hounsfield), de permeio às fibras musculares, e com sinal alto nas sequências convencionais ponderadas em T1, na ressonância magnética. A natureza adiposa é confirmada com as sequências de supressão de gordura na RM, apresentando sinal baixo, tanto na ponderação T1 como na T26.

A ressonância magnética (RM) pode ser usada para documentar a integração do enxerto de gordura e variações volumétricas produzidas nas nádegas após a lipoenxertia10.
Na literatura10 observa-se uma taxa global de complicações em pacientes com lipoenxertia autóloga de 10,5%, sendo o seroma do sítio doador relatado como a complicação mais comum (3,1%). Outras complicações relatadas foram: liponecrose (0,7%) (Figura 10), celulite (0,5%), assimetria (0,4%), infecção (0,3 %) e embolismo gorduroso (0,2%).

Quando comparada aos implantes de silicone, a lipoenxertia tem as vantagens de ser mais direcionada e permitir conformação concomitante das regiões do quadril e da cintura, o que afeta a aparência estética global do glúteo16,17, com aparência mais natural; possibilitar maior grau de aumento e cicatrizes menos evidentes7. Além disso, a taxa de complicações é menor em relação aos implantes6.
Materiais de Preenchimento:
O uso de materiais de preenchimento dérmico tem crescido de forma acentuada nos últimos anos, totalizando mais de 2,6 milhões de procedimentos em 2018 nos Estados Unidos, mais que o triplo do número de procedimento realizados no ano de 200012.
Conforme as indicações e o número de procedimentos realizados aumentam, o número de complicações provavelmente tende a aumentar18.
Em relação à classificação podem ser divididos em absorvíveis/temporários (ácido hialurônico, colágeno, gel de poliacrilamida, ácido poli-L-láctico, hidroxiapatita de cálcio) e não-absorvíveis/permanentes (polimetilmetacrilato).
Apesar de alguns trabalhos relatarem as características de imagem desses materiais na ressonância magnética6, os dados na literatura ainda são escassos, de modo que o padrão de sinal ainda é considerado no geral inespecífico. Dessa forma, a ressonância magnética é mais utilizada para avaliar possíveis complicações, além de determinar a localização, quantidade e extensão do material aplicado.
A ressonância magnética pode detectar quantidades tão pequenas quanto 2 mm de diâmetro de materiais de preenchimento, além de complicações como abscessos e granulomas que não foram detectados clinicamente19.
O uso em pequenas quantidades e em regiões específicas, como na face e dorso das mãos, está bem consolidado no campo da cirurgia plástica. Porém, o uso de volumes maiores e em outros locais do corpo, como na região glútea, ainda é questão controversa.
Alguns autores europeus publicaram estudos com o uso de ácido hialurônico aplicado no subcutâneo da região glútea20,21, com volumes de até 400 ml por paciente, com resultados satisfatórios. Ressaltam em seus trabalhos que os métodos tradicionais de gluteoplastia são todos procedimentos cirúrgicos importantes, que geralmente requerem anestesia geral e/ou produzem cicatrizes. Consequentemente, muitas pessoas estão procurando por procedimentos minimamente invasivos. O ácido hialurônico foi escolhido por ser de fácil uso, biocompatível, não tóxico e facilmente removível, se necessário20. A degradação do material resulta em redução de volume com o tempo, que pode ser avaliada por ressonância magnética20. A taxa geral de complicações com o uso de ácido hialurônico nesses dois trabalhos foi igual a 39,1%, sendo que nenhuma das complicações avaliadas foi grave. Entre as complicações mais frequentes relatadas destacam-se: inchaço (7,2 %), prurido (7,2 %), dor no local da injeção (5,8 %), hematoma (5,8 %), deslocamento do material (4,3 %)10.
Outros autores22,23 relataram em seus artigos o uso de ácido poli-L-láctico (PLLA) para preenchimento na região glútea, com aplicação do material no subcutâneo, utilizando volumes de até 48 ml por nádega, por sessão. Não relataram complicações graves. Ao contrário de outros materiais de preenchimento temporários e que basicamente atuam ocupando espaço, como produtos à base de colágeno e ácido hialurônico, o ácido poli-L-láctico (PLLA) tem o intuito de promover gradativamente a deposição de colágeno através de uma resposta bioestimulatória, com efeitos terapêuticos que duram aproximadamente dois anos24.
Uma publicação recente25 traz um consenso sobre recomendações em relação ao uso do polimetilmetacrilato (PMMA) no Brasil para procedimentos estéticos faciais e corporais. De acordo com a publicação, planos mais profundos devem ser escolhidos sempre que possível para tratamento corporal com PMMA. Os planos subcutâneo, intramuscular e submuscular podem ser usados com base nas necessidades de cada paciente. De acordo com as recomendações dos especialistas, o volume aplicado na região glútea pode chegar a 150 ml em uma única aplicação.
A Figura 11 ilustra um caso de gluteoplastia com polimetilmetacrilato na ressonância magnética em paciente assintomática, e a Figura 12 ilustra caso de complicação tardia, com processo inflamatório local, porém neste caso foi associado silicone líquido.


Não encontramos na literatura relatos de uso de gel de poliacrilamida (PAAG) na região glútea. Temos um caso com o uso deste material em paciente assintomática (Figura 13), e outro com migração do material (Figura 14).


É importante manter um alto índice de suspeita clínica de infecção quando agentes de preenchimento são identificados em exames de imagem, porque os abscessos podem ser difíceis de diferenciar de certos materiais que possuem características de imagem de TC e RM próximas às da água, como o ácido hialurônico5. No entanto, os abcessos tendem a exibir um maior grau de realce ao redor pelo contraste endovenoso26.
Silicone
A Agência Nacional de Vigilância Sanitária (Anvisa) proíbe o uso de silicone industrial para procedimentos estéticos. A aplicação ilegal do silicone industrial no corpo humano é considerada crime contra a saúde pública previsto no Código Penal. Evidentemente, a injeção de silicone para aumento cosmético também não é aprovada pela Food and Drug Administration (FDA) dos EUA.
Apesar disso, esta prática ainda é presente, possivelmente em função dos baixos custos, se comparados aos procedimentos cirúrgicos aprovados, e falta de informação sobre os riscos associados. A região glútea é um dos sítios mais comuns de aplicação do material5.
O silicone líquido é tão denso quanto ou ligeiramente mais denso que as partes moles na tomografia. Na RM, tende a demonstrar intensidade de sinal intermediária ou discretamente maior que o sinal da água nas imagens ponderadas em T1, e intensidade variável em imagens ponderadas em T2, possivelmente em razão de diferentes viscosidades, sendo o silicone de alta viscosidade geralmente mais hipointenso em T2 6,7,8,16,27,28.
Na sequência específica para silicone, com supressão do sinal da água e da gordura, apresenta sinal alto19.
Como o silicone reside permanentemente nos tecidos, a remoção cirúrgica pode ser a única maneira de tratar os problemas crônicos. Porém, a remoção cirúrgica do silicone pode ser muito difícil para o cirurgião e desfigurante para o paciente. A RM pré-operatória com sequências específicas para silicone pode ser útil na definição e localização do material antes de qualquer tentativa cirúrgica, para localizar o silicone e facilitar a identificação e a remoção pelo cirurgião8.
A resposta tecidual do hospedeiro após a injeção de silicone resulta na formação de granulomas6 (Figura 15). Reações granulomatosas podem ocorrer semanas a décadas após a injeção7.

Pequenas complicações incluem reação no local da injeção, eritema, edema e cicatrizes12. Devido às impurezas no silicone e às condições não estéreis sob as quais as injeções frequentemente ocorrem, esses procedimentos podem ser complicados por celulite crônica, abscessos e miosite. Outras complicações locais da injeção de silicone incluem migração, hiperpigmentação e fibrose da pele, necrose, ulceração, fístula, desfiguração6.
CONCLUSÃO
Apresentamos os achados usuais na ressonância magnética dos procedimentos de gluteoplastia, juntamente com o espectro de imagens de algumas de suas possíveis complicações, além de organograma com protocolo de ressonância magnética sugerido.
REFERÊNCIAS
1. https://doi.org/10.1093/asj/35.Supplement_2.1
2. Lima DA, Minakami DA, Pereira LC, Grando MC, Cruz RS, Braga AR, et al. Gluteoplasty augmentation: the importance of teaching of training residents to meet increasing demand. Rev Bras Cir Plást. 2011;26(1):127-33.
3. Nakamoto HA, Goldenberg D. We need to discuss gluteal fat grafting. Rev Bras Cir Plást. 2018;33(3):270-1.
4. Chasan PE. The history of injectable silicone fluids for soft-tissue augmentation. Plast Reconstr Surg. 2007 Dez;120(7):2034-40;discussion:2041-3.
5. http://dx.doi.org/10.1097/sap.0000000000001765
6. Lin DJ, Wong TT, Ciavarra GA, Kazam JK. Adventures and misadventures in plastic surgery and soft-tissue implants. Radiographics. 2017 Nov/Dez;37(7):2145-63.
7. Yahyavi-Firouz-Abadi N, Menias CO, Bhalla S, Siegel C, Gayer G, Katz DS. Imaging of cosmetic plastic procedures and implants in the body and their potential complications. AJR Am J Roentgenol. 2015 Abr;204(4):707-15.
8. Frank SJ, Flusberg M, Friedman S, Sternschein M, Wolf EL, Stein MW. Aesthetic surgery of the buttocks: imaging appearance. Skeletal Radiol. 2014 Fev;43(2):133-9.
9. Seiler SJ, Sharma PB, Hayes JC, Ganti R, Mootz AR, Eads ED, et al. Multimodality imaging-based evaluation of single-lumen silicone breast implants for rupture. Radiographics. 2017 Mar/Abr;37(2):366-82.
10. Oranges CM, Tremp M, Di Summa PG, Haug M, Kalbermatten DF, Harder Y, et al. Gluteal augmentation techniques: a comprehensive literature review. Aesthet Surg J. 2017 Mai;37(5):560-9.
11. Flores-Lima G, Eppley BL, Dimas JR, Navarro DE. Surgical pocket location for gluteal implants: a systematic review. Aesthetic Plast Surg. 2013 Jan;37(2):240-5.
12. American Society of Plastic Surgeons (ASPS). 2018 National Plastic Surgery Statistics: cosmetic and reconstructive procedure trends [Internet]. Arlington Heights: ASPS; 2018; [access in 2019 May 15]. Available from:
13. https://doi.org/10.1093/asj/sjx004
14. Toledo LS. Gluteal augmentation with fat grafting: the Brazilian buttock technique: 30 years' experience. Clin Plast Surg. 2015 Abr;42(2):253-61.
15. Condé-Green A, Kotamarti V, Nini KT, Wey PD, Ahuja NK, Granick MS, et al. Fat grafting for gluteal augmentation: a systematic review of the literature and meta-analysis. Plast Reconstr Surg. 2016 Set;138(3):437e-46e.
16. Wolf GA, Gallego S, Patrón AS, Ramírez F, Delgado JA, Echeverri A, et al. Magnetic resonance imaging assessment of gluteal fat grafts. Aesthetic Plast Surg. 2006 Jul/Ago;30(4):460-8.
17. Sinno S, Chang JB, Brownstone ND, Saadeh PB, Wall Junior S. Determining the safety and efficacy of gluteal augmentation: a systematic review of outcomes and complications. Plast Reconstr Surg. 2016 Abr;137(4):1151-6.
18. Funt D, Pavicic T. Dermal fillers in aesthetics: an overview of adverse events and treatment approaches. Clin Cosmet Investig Dermatol. 2013 Dez;6:295-316.
19. Mundada P, Kohler R, Boudabbous S, Trellu LT, Platon A, Becker M. Injectable facial fillers: imaging features, complications, and diagnostic pitfalls at MRI and PET CT. Insights Imaging. 2017 Dez;8(6):557-72.
20. Camenisch CC, Tengvar M, Hedén P. Macrolane for volume restoration and contouring of the buttocks: magnetic resonance imaging study on localization and degradation. Plast Reconstr Surg. 2013 Out;132(4):522e-9e.
21. De Meyere B, Mir-Mir S, Peñas J, Camenisch CC, Hedén P. Stabilized hyaluronic acid gel for volume restoration and contouring of the buttocks: 24-month efficacy and safety. Aesthetic Plast Surg. 2014 Abr;38(2):404-12.
22. Lorenc ZP. Techniques for the optimization of facial and nonfacial volumization with injectable poly-L-lactic acid. Aesthetic Plast Surg. 2012 Out;36(5):1222-9.
23. Mazzuco R, Sadick NS. The use of poly-L-lactic acid in the gluteal area. Dermatol Surg. 2016 Mar;42(3):441-3.
24. Jabbar A, Arruda S, Sadick N. Off face usage of poly-L-lactic acid for body rejuvenation. J Drugs Dermatol. 2017 Mai;16(5):489-94.
25. Souza TAB, Colomé LM, Bender EA, Lemperle G. Brazilian consensus recommendation on the use of polymethylmethacrylate filler in facial and corporal aesthetics. Aesthetic Plast Surg. 2018 Out;42(5):1244-51.
26. Ginat DT, Schatz CJ. Imaging features of midface injectable fillers and associated complications. AJNR Am J Neuroradiol. 2013 Ago;34(8):1488-95.
27. Cheung YC, Su MY, Ng SH, Lee KF, Chen SC, Lo YF. Lumpy silicone-injected breasts: enhanced MRI and microscopic correlation. Clin Imaging. 2002 Nov/Dez;26(6):397-404.
28. Mathews VP, Elster AD, Barker PB, Buff BL, Haller JA, Greven CM. Intraocular silicone oil: in vitro and in vivo MR and CT characteristics. AJNR Am J Neuroradiol. 1994 Fev;15(2):343-7.
1. Fleury, Radiologia, São Paulo, SP, Brasil.
FDC Análise e/ou interpretação dos dados, Análise estatística, Aprovação final do manuscrito, Conceitualização, Concepção e desenho do estudo, Gerenciamento do Projeto, Investigação, Realização das operações e/ou experimentos, Redação - Preparação do original, Redação - Revisão e Edição, Visualização
MG Análise e/ou interpretação dos dados, Conceitualização, Redação - Preparação do original
BCC Análise e/ou interpretação dos dados, Análise estatística
JBG Análise e/ou interpretação dos dados, Aprovação final do manuscrito, Redação - Revisão e Edição
AGO Análise e/ou interpretação dos dados, Aprovação final do manuscrito, Realização das operações e/ou experimentos, Validação, Visualização
MRS Redação - Preparação do original, Redação - Revisão e Edição
MAN Análise e/ou interpretação dos dados, Coleta de Dados, Concepção e desenho do estudo
Autor correspondente: Flavio Donaire Cônsolo Rua Pernambuco, Higienópolis, 210, Apart. 61B, São Paulo, SP, Brasil. CEP: 01240-020 E-mail: fconsolo@me.com
Artigo submetido: 06/02/2020.
Artigo aceito: 10/01/2021.
Conflitos de interesse: não há.






















Read in Portuguese
Read in English
PDF PT
Print
Send this article by email
How to Cite
Mendeley
Pocket
Twitter