Case Reports - Year 2008 - Volume 23 -
Graves disease ophthalmopathy: literature revision and surgical correction of an iatrogenic deformity
Oftalmopatia na doença de Graves: revisão da literatura e correção de deformidade iatrogênica
ABSTRACT
Introduction: Graves ophthalmopathy it is an autoimmune disease. Surgical treatment for expansion and decompression of the orbits are indicated in 5% of the patients. A literature revision has been done, related to the physiopathology, surgical treatment indication, critical review of the existing techniques and description of an iatrogenic surgical lesion and how it was corrected. Case report: Patient with an iatrogenic severe deformity, after surgery to correct Graves ophthalmopathy disease. She had bilateral exophthalmia and proptose and the overall thickness of the superior eyelids were open, with chronic exposition of the cornea. It was treated surgically with orbital walls osteotomy and orbital fat resection and synthesis of the eyelids tissues in three different planes in a way to avoid coincident plane suture. It was possible to obtain complete reestablishment of the continuity of the eyelid and regression of the exophthalmia. Conclusion: Literature revision showed that Graves Ophthalmopathy should be treated clinically in 95% of the cases. Surgical treatment is indicated only for severe cases and in the resting healing phase of the disease. Improper surgical indication of the present case, at the first operation, should be of a teaching experience to all of us. Surgical expansion of three walls of the orbits associated to orbital lipectomy was important to reduce the pressure over the eyelids and correct the iatrogenia.
Keywords: Graves ophthalmopathy. Graves Disease. Exophthalmos.
RESUMO
Introdução: A oftalmopatia de Graves é doença auto-imune. A cirurgia para expandir e descomprimir a órbita está reservada a apenas 5% dos casos. Foi realizada uma revisão da literatura referente a fisiopatologia da doença, indicação do tratamento cirúrgico, técnicas existentes, bem como descrição de uma paciente com lesão iatrogênica cirúrgica. Relato do caso: Paciente com grave deformidade iatrogênica pós-cirurgia, para corrigir a oftalmopatia de Graves. Apresentava, exoftalmia, proptose bilateral e abertura iatrogênica ao nível do sulco das pálpebras superiores, exposição crônica da córnea. Foi tratada cirurgicamente com: osteotomia das paredes das órbitas e ressecção de gordura periocular e síntese dos tecidos palpebrais em três diferentes planos e dispostas de forma não coincidentes. Obtidos completo restabelecimento da integridade palpebral e regressão do exoftalmo. Conclusão: Revisão da literatura mostra que a oftalmopatia de Graves deve ser tratada em 95% dos casos clinicamente. O tratamento cirúrgico está reservado para os casos graves e na fase quiescente cicatricial da doença. A indicação cirúrgica inadequada do presente caso na primeira cirurgia deve servir a todos nós de aprendizado. A expansão de três paredes orbitárias associada à lipectomia foi importante para aliviar a pressão sobre as pálpebras e corrigir a iatrogenia.
Palavras-chave: Oftalmopatia de Graves. Doença de Graves. Exoftalmia.
A oftalmopatia associada ao hipertireoidismo foi inicialmente descrita por Robert Graves. Em 1835, esse autor publicou o caso de uma paciente com 20 anos que, entre os sintomas de tireotoxicose, ainda apresentava olhos com uma aparência peculiar. O globo ocular mostrava-se aumentado e projetado, impossibilitando a oclusão palpebral durante o sono1. Desde então, esse comprometimento ocular passou a ser denominado de oftalmopatia de Graves.
Hoje, a doença é bastante conhecida, e tem como sinal a protusão ocular, causada por uma desarmonia na relação conteúdo/continente da órbita, pelo aumento do conteúdo, enquanto o continente ósseo da órbita permanece o mesmo2-5.
Estas alterações produzem uma deformidade estética, que chama muito a atenção das outras pessoas, levando seus portadores a procurarem tratamento sobretudo pelo problema estético, do que pela alteração funcional da tireóide.
Apesar dos quase dois séculos que nos separam da primeira descrição, até os dias atuais e dos inúmeros estudos desde então realizados, muitas incógnitas ainda permanecem e é deformidade estética que ainda em muitos casos não temos uma solução que possa satisfazer aos nossos pacientes.
Todos os autores revisados aceitam o conceito de que a oftalmopatia é em sua origem uma doença auto-imune e órgãoespecífica, provavelmente envolvendo mecanismos humorais e celulares, embora o detalhamento exato de sua patogênese ainda esteja sob investigação5,6.
Neste trabalho, fizemos uma revisão da literatura para obter dados do atual conhecimento da fisiopatologia, da indicação cirúrgica e das técnicas para a correção estética da deformidade.
Fisiopatologia
Quanto ao mecanismo fisiopatológico, acredita-se que linfócitos T reajam contra epítopes antigênicos, apresentados pelos tecidos da periórbita, semelhantes àqueles encontrados nas células foliculares da tireóide. Os fibroblastos da periórbita e os miócitos da musculatura extra-ocular provavelmente representam as células imunogênicas-alvo6. A infiltração linfocitária leva à liberação de citocinas, entre elas e principalmente a interleucina 1 (IL 1), imunoglobulinas e outras proteínas solúveis em toda periórbita. Esses mediadores inflamatórios recrutam fibroblastos antes quiescentes e os estimulam a secretarem ácido hialurônico e glicosaminoglicanas. As concentrações aumentadas desses componentes da matriz extracelular implicam no aumento da carga osmótica tecidual. Em última instância, o dano osmótico leva a edema e subseqüente fibrose de toda a periórbita, incluindo musculatura extra-ocular, e aumento volumétrico de todos os tecidos do conteúdo da órbita.
O quadro clínico é variável, dependendo do grau da infiltração dos tecidos, podendo ter uma ou mais das seguintes alterações: proptose, exoftalmia, retração palpebral, exposição da córnea, ceratites, compressão do nervo óptico, perda visual, diplopia e estrabismo por fibrose principalmente do músculo reto inferior. O aumento da pressão intra-orbital leva ao prejuízo na drenagem venosa episcleral, com conseqüente glaucoma e dor ocular7,8.
A manifestação clínica da doença é muito diversa, tanto em suas formas de apresentação quanto ao espectro de gravidade e evolução. Talvez a heterogeneidade dos mecanismos imunogênicos possa explicar essa diversidade clínica. Alguns pacientes com pronunciada proptose apresentamse com pequeno edema periorbital, enquanto outros exibem quadro clínico oposto8.
Não existe até o momento nenhum meio efetivo de prevenir a oftalmopatia e nem ao menos predizer quais pacientes com hipertiroidismo apresentarão a doença ocular8. Embora a oftalmopatia seja fortemente associada ao hipertiroidismo, seu surgimento não é restrito a essa endocrinopatia. O comprometimento ocular em hipertireoidismo é visível em 20 a 40% dos pacientes, mas a grande maioria apresenta ao menos um discreto envolvimento ocular quando avaliados por exames de imagem (TC/RNM).
Alterações oculares semelhantes foram também descritas em outras doenças tireoidianas (tireoidite de Hashimoto, carcinoma tiroidiano) e em associação com desordens diversas: miastenia gravis, anemia perniciosa, vitiligo, doença de Addison, radiação cervical, transplante alogênico de células tronco e cirurgia orbital9-11.
Outro ponto importante da experiência existente é que a oftalmopatia de Graves apresenta evolução independente. O controle das funções tireoidianas e o estado eutiroideo não implicam em regressão ou estabilização do quadro ocular2.
Em função dos possíveis efeitos colaterais dos medicamentos e aos riscos inerentes aos procedimentos cirúrgicos disponíveis, o tratamento da oftalmopatia de Graves atualmente é reservado aos casos graves e avançados.
A cirurgia de descompressão por ressecção de gordura e a expansão da órbita pelas osteotomias e ressecções ósseas ou mobilização anterior do esqueleto orbitário está indicada em apenas 5% dos casos, com o objetivo de aliviar mecanicamente a pressão intra-orbitária aumentada12, possibilitando a melhora do conteúdo e continente pela expansão dos tecidos moles8.
RELATO DO CASO
O presente caso é o de uma mulher de 44 anos, casada, com história de tireotoxicose de Graves há três anos, em tratamento clínico com antitireoidianos e radioiodoterapia desde o diagnóstico. Apesar do bom controle clínico e laboratorial da endocrinopatia, a paciente apresentou sinais de comprometimento oftalmológico, com progressão contínua. Procurou serviço de oftalmologia um ano após o início dos sintomas, onde foram diagnosticados exoftalmia (25 mm à esquerda e 29 mm à direita na exoftalmometria), glaucoma (pressão intraocular: 24mmHg à esquerda e à direita), exposição da esclera e retração palpebral superior à direita.
Diante desse quadro, decidiu-se pela realização de alongamento palpebral à direita, pela desinserção parcial da parte lateral do músculo elevador da pálpebra e ressecção das bolsas de gorduras palpebrais superiores e inferiores.
Na evolução pós-operatória, a paciente apresentou deiscência parcial da sutura da pálpebra superior direita; foi feito ressutura em ambulatório. Três meses após a cirurgia inicial, a paciente apresentou retração palpebral também à esquerda. Optou-se por correção cirúrgica semelhante. Realizou- se alongamento palpebral com desinserção parcial lateral do levantador da pálpebra à esquerda e ressecção de bolsas de gorduras palpebrais superiores. A paciente evoluiu com deiscência de sutura também desse lado, envolvendo toda a espessura palpebral. Após oito tentativas de ressutura à esquerda e quatro à direita, sem sucesso, a paciente foi encaminhada ao nosso serviço.
Na admissão, observou-se pronunciada proptose bilateral, exposição da córnea, lesão palpebral bilateral e estrabismo à esquerda, com desvio inferior do olhar (Figura 1).

Figura 1 - Iatrogenia por cirurgia de alongamento do músculo elevador das pálpebras e retirada de bolsas de gordura: observa-se a fenda no sulco das pálpebras superiores após várias deiscências.
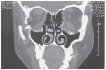
Tendo em vista a exposição crônica do globo ocular, o longo período de evolução e o comprometimento da estética facial com suas repercussões psicossociais, optamos pelo tratamento cirúrgico expansivo / descompressivo de órbita e reconstrução palpebral. Foram realizados cortes tomográficos pré-operatórios para avaliação inicial da morfologia orbitária (Figura 2).

Figura 2 - Corte tomográfico coronal pré-operatório, mostrando o excesso de gordura intra-orbitária, causa da pressão sobre as pálpebras.
Técnica cirúrgica
Sob anestesia geral, foi realizada incisão subciliar das pálpebras inferiores bilateralmente, com prolongamento lateral sobre a apófise orbitária. Realizada, também, dissecção do tegumento cutâneo, até expor o rebordo orbitário inferior. Foi dissecado o periósteo e exposição do esqueleto ósseo do assoalho da órbita, da parede medial e lateral até metade de sua profundidade. Procedeu-se a osteotomias e ressecção óssea das paredes medial, inferior e lateral, aumentando o volume do cone orbitário (Figuras 3 e 4).

Figuras 3 e 4 - Esquemas das osteotomias orbitárias.
Incisões na periórbita, para exposição da gordura, que foi parcialmente ressecada, nas áreas peri e retro-ocular também foram realizadas. Com isto, a gordura remanescente se expandiu para os novos espaços criados pelas osteotomias, reduzindo o volume do conteúdo intra-orbitário e melhorando a relação continente/conteúdo.
As lesões das pálpebras superiores foram corrigidas pela dissecção e individualização dos planos anatômicos, pele, camada muscular e mucosa, seguida da sutura desses tecidos em três diferentes níveis, com o cuidado para que as linhas de suturas ficassem em planos não coincidentes, para evitar nova deiscência. Suturou-se o plano conjuntival, o prolongamento do músculo elevador da pálpebra superior e a pele (Figura 5).

Figura 5 - Esquema dos planos de suturas palpebrais.
DISCUSSÃO
Revisão da literatura recente mostra que a oftalmopatia de Graves é uma doença auto-imune e com multiplicidade de manifestações clínicas e que não há espaço, portanto, para um tratamento único que contemple todos os casos desta afecção. O tratamento clínico é preferencial e a indicação cirúrgica está reservada a apenas 5% dos casos.
No caso operado, tanto a expansão quanto a descompressão das órbitas mostraram-se bastante efetivas na redução da proptose. A paciente evoluiu no pós-operatório recente, com grande edema periorbitário e de regressão lenta.
Após um ano de acompanhamento, o resultado final obtido foi muito satisfatório, com diminuição importante da proptose, restabelecimento da integridade palpebral, oclusão palpebral completa, sem exposição da córnea durante o sono e melhora da estética facial (Figura 6).

Figura 6 - Resultado após um ano: osteotomias das paredes orbitárias medial, inferior e lateral e esvaziamento da gordura orbitária.
A ampliação orbitária pode ser observada nos cortes tomográficos pós-operatórios (Figura 7).

Figura 7 - Corte tomográfico coronal pós-operatório mostrando diminuição da gordura intra-orbitária.
A paciente ainda faz uso de medicações para glaucoma, com bom controle da pressão intra-ocular.
A experiência mundial nos mostra que a opção do tratar cirurgicamente com descompressão/expansão das órbitas, para os casos de oftalmopatia de Graves fica reservada àqueles de maior gravidade, como no caso apresentado, isto é, pacientes com comprometimento visual, exposição da córnea e possibilidade de compressão do nervo óptico. Secundariamente há comprometimento estético facial, tornando imperativa a indicação cirúrgica.
Tendo em vista a multiplicidade de manifestações clínicas, a variabilidade no tempo para a apresentação dos sinais e sintomas e o grande espectro de gravidade dessa doença, cada caso deve ser avaliado separadamente, e o tratamento individualizado e orientado para a alteração morfofuncional diagnosticada. Não há espaço, portanto, para um tratamento único que contemple todos os casos de oftalmopatia de Graves.
Por se tratar de uma doença auto-imune e autolimitada13, caracterizada por uma fase inflamatória inicial, os antiinflamatórios esteróides assumem um papel de destaque, no tratamento clínico, porém limitado a um período de aproximadamente um ano.
Uma outra opção de tratamento clínico é a associação da corticoterapia com a radiação transorbitária, indicada nos casos de sintomas inflamatórios de moderado a grave (diplopia e perda visual). Seu efeito só pode ser observado após semanas do início do tratamento, e em muitos pacientes a radiação implica em exacerbação dos sintomas inflamatórios, advindo daí a necessidade de manter o uso dos corticóides.
Alguns esquemas terapêuticos preconizam o uso inicial de corticóides em altas doses nas primeiras 24 horas. Caso ocorra resposta favorável, com regressão de sintomas, aí sim a radiação é associada, mantendo-se os corticóides6,13.
Nos casos de inflamação grave, presença de neuropatia óptica compressiva, com perda visual, comprometimento do campo visual e da visão colorida, a pulsoterapia deve ser utilizada6,13,14.
O tratamento cirúrgico representa a melhor opção terapêutica para apenas 5% dos pacientes com oftalmopatia de Graves. Usualmente reservada para os casos graves, a cirurgia deve ser indicada apenas para aqueles que se encontram na fase quiescente cicatricial da doença13, devendo ser postergada se sinais inflamatórios ainda pontuam o quadro clínico.
A indicação cirúrgica precisa para cada caso é importante para se evitar seqüelas e o cirurgião deve avaliar bem qual a técnica ou qual associação de técnicas deve utilizar. Para isto, ele deve ter uma visão crítica das técnicas existentes.
A cirurgia de alongamento palpebral pode representar uma boa opção terapêutica para alguns casos de retração palpebral discreta. Porém, em retrações maiores, os resultados são muito limitados.
O alongamento do elevador da pálpebra por meio da interposição de espaçadores (esclera preservada ou fáscia lata autóloga)3 permite a correção de pequenas a moderadas retrações. Todavia, essa não representava uma opção terapêutica sensata para o presente caso na primeira cirurgia, realizada em outro serviço, pois os exames de exoftalmometria da paciente já mostravam pronunciada retração de pálpebras superiores com exoftalmia exuberante: 29 mm à direita e 25 mm à esquerda.
A lipectomia da gordura orbitária por via transpalpebral representa um procedimento cirúrgico de baixo risco, para o tratamento da proptose. Mas deve ser ampla e não somente das bolsas palpebrais como realizado, o que resultou em insucesso, porque produziu um recuo limitado do globo ocular (3,2 + 1,3mm), que foi insuficiente para correção da proptose3,15.
No presente caso, o tratamento cirúrgico foi indicado por nós, já na admissão da paciente, em função de: 1) três anos de evolução da doença; 2) não estar mais indicado o uso de corticóides e de irradiação transorbitária; 3) pela presença da deformidade palpebral, produzida pelas cirurgias anteriores; 4) exposição exacerbada da córnea, pela pronunciada proptose; 5) ao grande comprometimento da estética facial e suas repercussões psicossociais.
A técnica a ser utilizada deveria contemplar o restabelecimento da integridade palpebral e permitir uma regressão satisfatória do exoftalmo.
A análise da literatura nos mostra que a expansão de uma única parede óssea, geralmente a medial, está indicada em casos que se pretende uma redução discreta da proptose. Enquanto que a osteotomia combinada da parede medial e lateral permite reduções do exoftalmia de 4,2mm em média16-18. Contudo, em nosso caso seria necessário uma redução de mais que 5 mm, sendo portanto insuficiente.
Nos casos de proptose acentuada, de evolução arrastada, a experiência dos autores mostra que a osteotomia expansiva da órbita das três paredes, medial, inferior e lateral, por via aberta ou endoscópica, é o método que propicia melhores resultados7,16,17,19,20, alcançando-se regressão do globo ocular de 6,6mm até 12,5mm se associado ao avanço da parede lateral20. Por esta razão, indicamos a osteotomia das três paredes orbitárias associada à lipectomia, para reduzir a pressão do globo ocular sobre as pálpebras, causa maior das várias deiscências ocorridas. O procedimento cirúrgico objetivou primariamente reduzir a pressão intra-orbitária, pela expansão tridimensional do esqueleto ósseo e pela redução do volume da gordura orbitária, produzindo descompressão da órbita, melhorando, em última instância, a relação conteúdo/continente.
As lesões das pálpebras superiores foram corrigidas por meio do restabelecimento da anatomia palpebral. Uma vez reduzida a protusão ocular, a tensão sobre a linha de sutura deixou de existir, fator que contribuía para a formação e perpetuação das repetidas deiscências das pálpebras, ocorridas nas cirurgias anteriores.
Por ser a região orbitária local do processo inflamatório na oftalmopatia de Graves, reintervenções, como ajustes no posicionamento das pálpebras3 ou mesmo rafias de deiscências, devem ser realizadas ainda na primeira semana pós-operatória ou postergadas por um ano. O desrespeito a esses preceitos pode implicar em resultados desastrosos, iatrogênicos, como o caso descrito, que acabam por macular a relação médico-paciente e possibilitando ao descrédito os tratamentos cirúrgicos bem indicados.
CONCLUSÃO
- 1. Revisão da literatura nos mostra que a oftalmopatia de Graves é uma doença auto-imune e com multiplicidade de manifestações clínicas, que deve ser tratada em 95% dos casos clinicamente.
2. O tratamento cirúrgico está reservado para os casos graves e na fase quiescente cicatricial da doença.
3. A indicação cirúrgica inadequada do presente caso na primeira cirurgia deve servir a todos nós de aprendizado.
4. A expansão de três paredes orbitárias e a lipectomia foram importantes para aliviar a pressão sobre as pálpebras e corrigir a iatrogenia.
REFERÊNCIAS
1. Graves RJ. Newly observed affection of the thyroid gland in females. London Med J 1835;7:516.
2. Bartalena L, Tanda ML, Piantanida E, Lai A, Pinchera A. Relationship between management of hyperthyroidism and course of the ophthalmopathy. J Endocrinol Invest. 2004;27(3):288-94.
3. Krastinova-Lolov D, Bach CA, Hartl DM, Coquille F, Jasinski M, Cecchi P, et al. Surgical strategy in the treatment of globe protrusion depending on its mechanism (Graves' disease, nonsyndromic exorbitism, or high myopia). Plast Reconstr Surg. 2006;117(2):553-64.
4. Baujat B, Krastinova D, Bach CA, Coquille F, Chabolle F. Orbital morphology in exophthalmos and exorbitism. Plast Reconstr Surg. 2006;117(2):542-52.
5. Bouletreau P, Ordonnez I, Orgiazzi J, Breton P, Freidel M. Grave's ophthalmopathy: therapeutic strategy. Review of 30 patients. Rev Stomatol Chir Maxillofac. 2005;106(2):75-82.
6. Bartalena L, Marcocci C, Tanda ML, Piantanida E, Lai A, Marino M, et al. An update on medical management of Graves' ophthalmopathy. J Endocrinol Invest. 2005;28(5):469-78.
7. Tveten S, Mohr C, Esser J. Orbital decompression in treatment of endocrine orbitopathy. Mund Kiefer Gesichtschir. 1998; 2(Suppl 1):S102-6.
8. Bahn RS. The enigma of Graves' ophthalmopathy. West J Med. 1993;158(6):633-5.
9. Berg G, Andersson T, Sjodell L, Jansson S, Nystrom E. Development of severe thyroid-associated ophthalmopathy in a patient with disseminated thyroid cancer treated with recombinant human thyrotropin/radioiodine and retinoic acid. Thyroid. 2005;15(12):1389-94.
10. Hon C, Yau K, Chan EY, Lee KK, Au WY. Graves' ophthalmopathy after allogeneic stem cell transplantation. Ann Hematol. 2006;85(12):887-8.
11. Kim SJ, Kim BJ, Lee HB, Tsirbas A, Kazim M. Thyroid associated orbitopathy following periocular surgery. Korean J Ophthalmol. 2006;20(2):82-6.
12. Otto AJ, Koornneef L, Mourits MP, Deen-van Leeuwen L. Retrobulbar pressures measured during surgical decompression of the orbit. Br J Ophthalmol. 1996;80(12):1042-5.
13. El-Kaissi S, Frauman AG, Wall JR. Thyroid-associated ophthalmopathy: a practical guide to classification, natural history and management. Intern Med J. 2004;34(8):482-91.
14. Wakelkamp IM, Baldeschi L, Saeed P, Mourits MP, Prummel MF, Wiersinga WM. Surgical or medical decompression as a first-line treatment of optic neuropathy in Graves' ophthalmopathy? A randomized controlled trial. Clin Endocrinol (Oxf). 2005; 63(3):323-8.
15. Balázs E, Nagy EV, Tóth K, Steiber Z, Kertesz K, Szucs-Farkas Z, et al. Initial experience with transpalpebral orbital lipectomy. Ophthalmologie. 2006;103(6):517-22.
16. Clauser L, Galie M, Sarti E, Dallera V. Rationale of treatment in Graves ophthalmopathy. Plast Reconstr Surg. 2001; 108(7):1880-94.
17. Kasperbauer JL, Hinkley L. Endoscopic orbital decompression for Graves' ophthalmopathy. Am J Rhinol. 2005;19(6):603-6.
18. Silver RD, Harrison AR, Goding GS. Combined endoscopic medial and external lateral orbital decompression for progressive thyroid eye disease. Otholaryngol Head Neck Surg. 2006;134(2):260-6.
19. Cansiz H, Yilmaz S, Karaman E, Ogreden S, Acioglu E, Sekercioglu N, et al. Three-wall orbital decompression superiority to 2-wall orbital decompression in thyroid-associated ophthalmopathy. J Oral Maxillofac Surg. 2006;64(5):763-9.
20. Goh MS, McNab AA. Orbital decompression in Graves' orbitopathy: efficacy and safety. Intern Med J. 2005;35(10):586-91.
I. Professor Assistente da Área de Cirurgia Plástica, Departamento de Cirurgia, Faculdade de Ciências Médicas da Universidade Estadual de Campinas (FCM - UNICAMP).
II. Médico Assistente da Área de Cirurgia Plástica, Hospital das Clínicas da FCM - UNICAMP.
III. Médico Residente da Área de Cirurgia Plástica Departamento de Cirurgia, FCM - UNICAMP.
IV. Professor Assistente Doutor da Área de Cirurgia Plástica, Departamento de Cirurgia, FCM - UNICAMP.
V. Chefe da Área de Cirurgia Plástica Departamento de Cirurgia, FCM - UNICAMP.
VI. Professor Livre-Docente de Cirurgia; Professor Pesquisador da Área de Cirurgia Plástica, Departamento de Cirurgia, FCM - UNICAMP.
Correspondência para:
Jorge M. Psillakis
Rua Helena, 218 conj. 209 - Vila Olímpia
São Paulo, SP
CEP 04552-050
E.mail: jorgepsi@terra.com.br
Trabalho realizado na Área de Cirurgia Plástica, Departamento de Cirurgia, Faculdade de Ciências Médicas da Universidade Estadual de Campinas, Campinas, São Paulo, Brasil.
Trabalho apresentado no 43º Congresso Brasileiro de Cirurgia Plástica, em Recife, 2006.
Artigo recebido: 16/01/2008 Artigo aceito: 17/03/2008


Read in Portuguese
Read in English
PDF PT
Print
Send this article by email
How to Cite
Mendeley
Pocket
Twitter