Original Article - Year 2005 - Volume 20 -
Reconstrução do Segmento Ósseo Mandibular: Comportamento dos Implantes Ósseo-Integrados nos Retalhos Vascularizados de Crista Ilíaca e Fíbula
Reconstruction of mandible bone defect: behavior of osseous integrated implants upon vascularized iliac bone graft and vascularized fíbula bone graft
RESUMO
Introdução: A reconstrução do segmento ósseo mandibular utilizando retalhos ósseos vascularizados após perdas segmentares é o método mais utilizado na atualidade, tendo zonas doadoras que incluem a fíbula, o rádio, a escápula e a crista ilíaca. Método: Apresenta-se uma análise descritiva e retrospectiva da experiência dos autores em 45 casos de reconstrução mandibular microcirúrgica em pacientes com defeitos ósseos da mandíbula. Foram utilizados enxertos ósseos vascularizados, ou da crista ilíaca ou da fíbula, avaliando o comportamento dos enxertos em relação a sua facilidade de uso e viabilidade de uma posterior ósseo-integração dos implantes. Resultados: O retalho microcirúrgico de fíbula foi utilizado em 10 pacientes, e o retalho de crista ilíaca foi em outros 35 casos. Em todos os casos nos quais se utilizou a fíbula, houve necessidade de osteotomia do segmento ósseo transferido e em somente quatro casos a implantação dentária foi satisfatória. No entanto, o retalho de crista ilíaca foi realizado sem a necessidade de osteotomia e foi possível a colocação dos implantes nos 35 retalhos, não sendo observada em nenhum caso falha na integração dos implantes, sendo possível o retorno à mastigação após 6 meses. Conclusões: As reconstruções realizadas com o retalho microcirúrgico de crista ilíaca evidenciaram bons resultados funcionais. Quanto aos casos em que se utilizou o retalho de fíbula, obtiveram-se piores resultados no que tange à integração dos implantes dentários.
Palavras-chave: Mandíbula, cirurgia. Transplante ósseo. Procedimentos cirúrgicos reconstrutivos
ABSTRACT
Introduction: Reconstruction of mandible bone segment using vascularized bone grafts after segmental bone defects is the most used method nowadays, with donor sites including fibula, radius, scapula and iliac bone. Method: A descriptive and retrospective analysis was performed with authors experience in 45 cases of microsurgical mandible reconstruction, all with mandible bone defects. We used vascularized bone graft from iliac bone or fibula, evaluating the behavior of grafts related to the simplicity of use as well as a reliability to perform dental osseointegrated implants in them. Results: A fibular microsurgical graft was used in 10 patients and an iliac crest bone graft was used in the others 35 cases. . In all cases when fibula was used it was necessary to make an osteotomy of the graft and in just 4 cases successful osseointegrated dental implant was achieved. An iliac crest bone graft was performed without necessity of osteotomy and in all cases a successful osseointegration of dental implants was achieved, with a return of the masticatory function after 6 months. Conclusions: Reconstructions performed with vascularized iliac bone graft showed good functional results .In the cases where fibula bone graft was used we observe worse results related to osseointegration of dental implants.
Keywords: Mandible, surgery. Boxe transplantation. Reconstructive surgical procedures
A reconstrução anatômica da mandíbula constitui-se em tarefa árdua para o cirurgião, tendo em vista a complexidade da função da mandíbula e as peculiaridades do tratamento das lesões que acometem o segmento cérvico-facial1-3. Com o desenvolvimento das técnicas microcirúrgicas de reconstrução, houve um grande avanço nos resultados de reconstrução mandibular1-3. Atualmente, a utilização da reconstrução combinada de revestimento mucoso, estrutura óssea e revestimento cutâneo oferece resultados superiores comparada a tratamentos anteriores com retalhos locais pediculados1,4-6. Mas, há controvérsias entre a melhor zona doadora do enxerto ósseo vascularizado para a reconstrução mandibular, sendo os mais utilizados os de crista ilíaca, fíbula, escápula e rádio.
Os retalhos de crista ilíaca e fíbula proporcionam maior quantidade de osso e são escolhidos no tratamento de lesões que comprometem áreas extensas da mandíbula1,2. O ilíaco apresenta uma forma que se adapta bem à curvatura lateral do arco mandibular, dispensando, muitas vezes, as osteotomias e é reservado com freqüência para os casos de hemi-mandibulectomia. Sua estrutura facilita o uso dos implantes ósseointegrados1,2,4,7. A fíbula, por sua vez, é considerada mais versátil, sendo preferida por diversos autores para a reconstrução de lesões anteriores da mandíbula. O seu comprimento ósseo e sua rica vascularização permitem seu remodelamento através de múltiplas osteotomias1-3.
As diversas formas de reconstrução da mandíbula podem ser apreciadas segundo critérios funcionais e estéticos. O aspecto estético pode ser apreciado pela melhoria do contorno e aspecto da face. São critérios funcionais a mastigação, a deglutição e a fala. A mastigação em muito depende da utilização dos implantes ósseo-integrados.
Os implantes, fixados ao segmento reconstruído, permitem o retorno da função mastigatória de forma semelhante à dentição natural, privilegiando ainda o aspecto estético. Assim sendo, é fundamental que o segmento ósseo reconstituído permita a inclusão dos implantes1,4,7.
No presente estudo, apresenta-se a nossa experiência de 45 reconstruções do segmento ósseo mandibular utilizando retalhos ósseos vascularizados de crista ilíaca e fíbula, analisando o desempenho de ambos frente ao uso dos implantes ósseointegrados como critério funcional frente às reconstruções mandibulares.
MÉTODO
No período de 1995 a 2002, foram realizadas 45 reconstruções mandibulares utilizando-se os retalhos microcirúrgicos de crista ilíaca e fíbula vascularizadas no Serviço de Cirurgia da Mão e Microcirurgia Reconstrutiva - Hospital São Lucas da Pontifícia Universidade Católica do Rio Grande do Sul. Deste total, 28 eram homens e 17 mulheres. A idade variou entre 17 e 55 anos (média, 45 anos). O tempo médio de hospitalização foi de 13 dias, e o tempo cirúrgico anestésico foi de 2 a 4 horas (média 2h30min). Os casos foram selecionados conforme a necessidade de provisão de osso vascularizado, sem a necessidade de adição de partes moles ou no revestimento mucoso. A presença de radionecrose foi também critério de exclusão, uma vez que muitos destes casos necessitaram cobertura cutânea associada. O tipo de retalho ósseo vascularizado foi escolhido de acordo com a localização e extensão das perdas. Nas lesões de hemimandíbula, corpo ou ramo optou-se pela crista ilíaca baseada na artéria circunflexa profunda do ílio. Nos casos de envolvimento da sínfise, a fíbula obtida pela abordagem lateral e nutrida pela artéria peroneira foi escolhida (Tabela 1, Figuras 1 a 3).


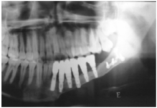
Figura 1 - Tumor no ramo mandibular.

Figura 2 - Reconstrução com retalho

Figura 3 - Reconstrução com retalho ósseo de crista ilíaca, tomografia computadorizada.
Após a reconstrução óssea da mandíbula, observamos os pacientes por um período de 1 ano a fim de avaliar a integração dos implantes ósseo-integrados pelo segmento ósseo reconstituído. Os implantes foram colocados pela equipe do Serviço de Cirurgia Buco-maxilo-facial da instituição citada anteriormente (Figuras 4 a 8).

Figura 4 - Perda de substância óssea em mandíbula.

Figura 5 - Reconstrução com retalho ósseo de crista ilíaca.

Figura 6 - Primeiro tempo da reconstrução com implante ósseo-integrado.

Figura 7 - Segundo tempo da reconstrução com implante ósseo-integrado.

Figura 8 - Resultado da reconstrução com os implantes e a dentição final.
RESULTADOS
O retalho microcirúrgico de fíbula foi utilizado em 10 pacientes. Em todos os casos houve necessidade de osteotomia do segmento ósseo. Em oito casos, o segmento ósseo constituído permitiu a implantação dentária. Em quatro pacientes, entretanto, houve posterior falha da integração dos implantes. O retalho de crista ilíaca foi executado em 35 casos, sem a necessidade de osteotomia. Foi possível a colocação dos implantes nos 35 retalhos, não sendo observada em nenhum caso falha na integração (Tabelas 2 e 3).


Os pacientes reconstruídos com o retalho de fíbula que evoluíram com sucesso, ao receberem os implantes ósseo-integrados, apresentaram recuperação funcional semelhante aos pacientes reconstruídos com o retalho de crista ilíaca, sendo possível o retorno à mastigação após 6 meses (Figuras 9 a 12).

Figura 9 - Perda de substância mandibular.

Figura 10 - Dissecção da fíbula na perna.

Figura 11 - Retalho da fíbula dissecado.

Figura 12 - Resultado da abertura bucal pós-reconstrução mandibular com fíbula.
DISCUSSÃO
Após a ablação da mandíbula, a mais importante decisão a ser tomada constitui-se na seleção da opção mais adequada de reconstrução. A reconstrução mandibular com retalhos ósseos vascularizados é hoje a técnica de escolha na maior parte dos casos. Existem muitas regras para a escolha do retalho mais apropriado, mas o mais importante é a escolha da quantidade e tipo de osso e de tecidos moles necessários. Ressecções segmentares irão requerer tipos diferentes de osso para a reconstrução.
A reconstrução do arco anterior, por exemplo, requer múltiplas osteotomias a fim de duplicar a forma do arco. O segmento ósseo deve ser amplo de forma a permitir a colocação dos implantes dentários ósseo-integrados, e sólido o suficiente para suportar a função mastigatória. Defeitos segmentares laterais podem não requerer implantes dentários, e, de forma particular, o ramo ascendente da mandíbula requer menor quantidade de osso. São também considerações importantes na escolha do retalho apropriado o comprimento do pedículo, a facilidade de dissecção e a morbidade da área doadora.
Os retalhos ósseo-cutâneos mais comumente utilizados são os de fíbula, rádio, escápula e ílio3. A fíbula proporciona até 25 cm de osso bicortical uniforme, cuja vascularização permite também múltiplas osteotomias. O pedículo mede em geral 8 cm, mas pode ser alongado removendo-se o periósteo na porção proximal do retalho. Também apresenta a vantagem de permitir a atuação simultânea de duas equipes, dissecção do retalho e a ressecção oncológica.
A crista ilíaca, por sua vez, apresenta forma peculiar que se assemelha à do hemi-arco mandibular. Usualmente, não é osteotomizada devido ao receio de comprometer sua circulação. Também não se constitui uma boa opção para a confecção de retalhos compostos, uma vez que a quantidade de tecidos moles adjacentes tende a ser muito grande, e a ilha de pele não apresenta vascularização confiável. Entretanto, seguindo-se aos estudos anatômicos da artéria circunflexa profunda do ílio, o "DCIA system" descrito por Taylor7, tornou-se possível a obtenção de segmentos ósseos maiores. Temos utilizado o retalho ósseo de crista ilíaca nos casos em que o defeito não exige a confecção de retalhos compostos. O retalho é obtido separando-se os tecidos moles do ílio, o que diminui também a morbidade na área doadora com uma cicatriz pouco visível.
O principal objetivo da reconstrução mandibular é a reparação da dentição e função mastigatória, uma vez que a cirurgia visa a reparar um segmento anatômico do corpo que está relacionado com aspectos funcionais e psicológicos importantes para o indivíduo. Os resultados da reconstrução podem ser apreciados segundo aspectos estéticos, quando se avalia o restabelecimento da simetria facial e um sorriso mais estético para a face, e funcionais como é o caso da mastigação, deglutição e fala. Observamos nesta série que o aspecto fundamental na reconstrução mandibular está na possibilidade de colocação dos implantes ósseointegrados, uma vez que a presença dos dentes melhora tanto o aspecto funcional como o estético. É fundamental que os retalhos ósseos confeccionados ofereçam condições para receber implantes ósseo-integrados, que são, atualmente, o recurso de restauração dentária que mais se assemelha aos dentes naturais, suportando a pressão mastigatória de forma equivalente. Isso elimina o desconforto das próteses móveis, os quais muitas vezes não se adaptam às mandíbulas reconstruídas.
Os resultados obtidos com este serviço corroboram com dados da literatura no que se refere ao retalho ósseo vascularizado de crista ilíaca apresentar o melhor perfil para acomodar os implantes ósseo-integrados1,4,7-10. Frodel et al.4 e Moscoso et al.8 demonstraram em estudos anatômicos que a crista ilíaca apresenta mais constantemente as dimensões necessárias para a integração dos implantes de forma estável.
Entretanto, baseado nestes mesmos estudos anatômicos e na conclusão de outros autores, o retalho vascularizado de fíbula também seria, de forma eficiente, apto à integração dos implantes dentários1,4,6,11. Um dos argumentos para esta justificativa é o fato de a fíbula ser bicortical em sua conformação. O sexo seria um fator determinante nestes pacientes, assim, em pacientes do sexo masculino o segmento ósseo estaria mais apto à colocação dos implantes ósseo-integrados.
Analisando-se os resultados ao longo destes oito anos, observa-se que algumas vezes os implantes ósseo-integrados não integraram quando aplicados aos retalhos fibulares. Na literatura, desperta a atenção o fato de que, apesar de vários trabalhos salientarem a superioridade do retalho de crista ilíaca7-11, muitos autores têm preferido a fíbula nas reconstruções mandibulares1-3,6,12. Acredita-se que isto se deva à grande prática e familiaridade que alguns centros desenvolveram com determinadas técnicas, com conseqüente melhores resultados.
CONCLUSÃO
As reconstruções realizadas com o retalho microcirúrgico de crista ilíaca evidenciaram bons resultados funcionais em relação a uma posterior colocação de implantes dentários, com conseqüente melhora da mastigação. Quanto aos casos em que se utilizou o retalho de fíbula, obteve-se piores resultados no que tange à integração dos implantes dentários.
REFERÊNCIAS BIBLIOGRÁFICAS
1. Cordeiro PG, Hidalgo DA. Conceptual considerations in mandibular reconstruction. Clin Plast Surg. 1995;22(1):61-9.
2. Takushima A, Harii K, Asato H, Nakatsuka T, Kimata Y. Mandibular reconstruction using microvascular free flaps: a statistical analysis of 178 cases. Plast Reconstr Surg. 2001;108(6):1555-63.
3. Cordeiro PG, Disa JJ, Hidalgo DA, Hu QY. Reconstruction of the mandibule with osseous free flaps: a 10-year experience with 150 consecutive patients. Plast Reconstr Surg. 1999;104(5):1314-20.
4. Frodel JL, Funk GF, Capper DT, Fridrich KL, Blumer JR, Haller JR et al. Osseointegrated implants: a comparative study of bone thickness in four vascularized bone flaps. Plast Reconstr Surg. 1993;92(3):449-58.
5. Zenn MR, Hidalgo DA, Cordeiro PG, Shah JP, Strong EW, Kraus DH. Current role of the radial forearm free flap in mandibular reconstruction. Plast Reconstr Surg. 1997;99(4):1012-7.
6. Hidalgo DA. Aesthetic improvements in free-flap mandible reconstruction. Plast Reconstr Surg. 1991;88(4):574-87.
7. David DJ, Tan E, Katsaros J, Sheen R. Mandibular reconstruction with vascularized iliac crest: a 10-year experience. Plast Reconstr Surg. 1988;82(5):792-803.
8. Moscoso JF, Keller J, Genden E, Weinberg H, Biller HF, Buchbinder D et al. Vascularized bone flaps in oromandibular reconstruction: a comparative anatomic study of bone stock from various donor sites to assess suitability for enosseous dental implants. Arch Otolaryngol Head Neck Surg. 1994;120:36-43.
9. Chen YB, Chen HC, Hahn LH. Major mandibular reconstruction with vascularized bone grafts: indications and selection of donor tissue. Microsurgery. 1994;15:227-37.
10. Jewer DD, Boyd JB, Manktelow RT, Zucker RM, Rosen IB, Gullane PJ et al. Orofacial and mandibular reconstruction with the iliac crest free flap: a review of 60 cases and a new method of classification. Plast Reconstr Surg. 1989;84(3):391-405.
11. Salibian AH, Rappaport I, Allison G. Functional oromandibular reconstruction with the microvascular composite groin flap. Plast Reconstr Surg. 1985;76(6):819-28.
12. Hidalgo DA, Rekow A. A review of 60 consecutive fibula free flap mandible reconstructions. Plast Reconstr Surg. 1995;96(3):585-602.
I. Professor da Faculdade de Medicina da PUC-RS e Responsável pela Cirurgia da Mão e Microcirurgia Reconstrutiva do Hospital São Lucas da PUC-RS.
II. Professor da Faculdade de Medicina da PUC-RS e Regente do Serviço de Cirurgia Plástica do Hospital São Lucas da PUC-RS.
III. Estagiário da Unidade de Cirurgia da Mão e Microcirurgia Reconstrutiva do Hospital São Lucas da PUC-RS.
IV. Acadêmico do curso de Medicina da Pontifícia Universidade Católica do Rio Grande do Sul (PUCRS).
Correspondência para:
Jefferson Braga-Silva
Avenida Ipiranga, 6690, conj. 216, Centro Clínico PUC-RS
Porto Alegre, RS, Brasil - CEP: 90610-000
Tel/Fax: 0xx51 3315-6277/33 20-5040
E-mail: jeffmao@terra.com.br
Trabalho realizado no Serviço de Cirurgia Plástica - Unidade de Cirurgia da Mão e Microcirurgia Reconstrutiva do Hospital São Lucas da PUC-RS. Porto Alegre - RS.
Artigo recebido: 04/07/2005
Artigo aprovado: 09/09/2005


Read in Portuguese
Read in English
PDF PT
Print
Send this article by email
How to Cite
Mendeley
Pocket
Twitter