Open Access Revisão por pares

Original Article - Year 2026 - Volume 41Issue 1

Ultrasound Analysis of Fat Grafting in Breast Reconstruction

Análise ultrassonográfica da lipoenxertia na reconstrução mamária

http://www.dx.doi.org/10.1055/s-0046-1817172

ABSTRACT

Introduction Fat grafting is widely used in breast surgical procedures, both reconstructive and esthetic, to enhance outcomes and correct imperfections. There are still uncertainties regarding the fat graft resorption rate, which varies depending on the technique used. Ultrasound has shown to be an accessible tool for evaluating fat graft resorption.
Objective To assess the integration of fat grafts in patients undergoing breast reconstruction using ultrasound scans.
Materials and Methods Following liposuction, fat was reinjected into the breasts of the patients. They were divided into two groups; one group had the fat purified through filtration, while the other group had it purified through decantation. Evaluation consisted of measuring subcutaneous tissue thickness with ultrasound.
Results The study included 12 patients, equally divided between the 2 groups. The average reduction in subcutaneous tissue thickness after 6 months was 26.36% in the decanted fat group and 22.80% in the filtered fat group.
Conclusion Both groups presented partial graft absorption. Ultrasound analysis revealed no significant difference in the resorption rate between the two groups.

Keywords: breast reconstruction; liposuction; adipose tissue; tissue and organ harvesting; transplantation; autologous; ultrasonography; absorption

RESUMO

Introdução A lipoenxertia é amplamente utilizada em procedimentos cirúrgicos mamários, tanto reconstrutivos quanto estéticos, com o intuito de aprimorar os resultados e corrigir imperfeições. Ainda há incertezas quanto à taxa de reabsorção da gordura, variando conforme a técnica aplicada. A ultrassonografia temsemostrado como uma ferramenta acessível para avaliação da reabsorção do enxerto de gordura.

Objetivo Examinar a integração dos enxertos de gordura em pacientes submetidas à reconstrução mamária por meio de exames ultrassonográficos.

Materiais e Métodos Realizou-se lipoaspiração seguida da reinjeção da gordura nas mamas. As pacientes foram divididas em dois grupos: em um, a gordura foi purificada por meio de filtragem; no outro, por decantação. A avaliação foi feita através da medição da espessura do tecido subcutâneo com ultrassom.

Resultados Participaram do estudo 12 pacientes, divididas igualmente entre os 2 grupos. A média de redução na espessura do tecido subcutâneo, após 6 meses, foi de 26,36% no grupo que recebeu gordura decantada e 22,80% no grupo com gordura filtrada.

Conclusão Verificou-se reabsorção parcial dos enxertos em ambos os grupos analisados. Não houve diferença significativa na taxa de reabsorção entre os dois grupos à análise com ultrassonografia.

Palavras-chave: reconstrução da mama; lipoaspiração; tecido adiposo; coleta de tecidos e órgãos; transplante autólogo; ultrassonografia; absorção


Introdução

A utilização de gordura autóloga como material de preenchimento é uma prática antiga na cirurgia plástica, sendo empregada para tratar defeitos em tecidos moles. O primeiro registro desse uso ocorreu em 1893, por Gustav Neuber. Já em 1985, Vicent Czerny realizou a primeira reconstrução mamária com enxerto de gordura.1,2

No passado, a enxertia de gordura nas mamas era considerada um procedimento de risco, associada à possibilidade de malignidade e à dificuldade no rastreamento do câncer mamário. No entanto, estudos demonstraram que a lipoen-xertia não compromete o acompanhamento radiológico nem está relacionada a um aumento no risco de neoplasias.3,4 A gordura é um material abundante, autólogo, de fácil obtenção, biocompatível e com baixa imunogenicidade, características que a tornam ideal para procedimentos de preenchimento. Assim, essa técnica que antes era vista como experimental passou a ser reconhecida como uma abordagem segura e eficaz na reconstrução mamária pós-mastectomia, uma vez que permite corrigir deformidades, assimetrias e retrações cutâneas, melhorando o contorno das mamas.5,6

Com o aumento da incidência de câncer de mama, cresce também o número de mulheres submetidas à reconstrução mamária e consequentemente da realização de enxertos de gordura.7 Apesar das vantagens, os resultados da lipoenxer-tia ainda apresentam variabilidade, especialmente devido à reabsorção parcial do tecido enxertado, que pode comprometer o resultado estético e exigir procedimentos adicionais.5,8

Avanços recentes na literatura têm elucidado aspectos biológicos importantes da gordura enxertada, destacando o papel da fração vascular estromal (VSF, do inglês vascular stromal fraction) e das células-tronco derivadas do tecido adiposo (ADSCs, do inglês adipose tissue-derived stem cells). Essas estruturas celulares apresentam propriedades imuno-moduladoras, angiogênicas e regenerativas, que favorecem a vascularização e a integração do enxerto, contribuindo para sua viabilidade e durabilidade.9

Apesar dos bons resultados clínicos, algumas dúvidas persistem, como a forma ideal de processar a gordura e os métodos de mensuração da integração do enxerto. A ressonância magnética, embora eficaz, apresenta limitações práticas e econômicas para essa medida. A ultrassonografia surge como uma alternativa viável, segura e acessível para mensurar a reabsorção após a enxertia.10,11

Objetivo

Avaliar a integração dos enxertos de gordura em pacientes submetidas à reconstrução mamária por meio de análise ultrassonográfica, comparando a reabsorção da gordura preparada por filtragem e por decantação.

Materiais e Métodos

Trata-se de um estudo clínico prospectivo e de intervenção, com análise qualitativa e quantitativa dos resultados. Foram selecionadas pacientes que haviam passado por mastectomia com reconstrução mamária (imediata ou tardia) e apresentavam queixas de assimetrias passíveis de correção com lipoenxertia no ambulatório de Cirurgia Plástica do Hospital Universitário Clementino Fraga Filho (HUCFF) no Rio de Janeiro. Foram incluídas pacientes com mais de 18 anos de idade e que concordassem em participar da pesquisa por meio de Termo de Consentimento Livre e Esclarecido (TCLE), entre dezembro de 2022 e maio de 2023.

Todas as participantes foram tratadas com enxertos autó-logos de gordura para corrigir as assimetrias mamárias de acordo com as particularidades anatômicas de cada caso. O planejamento cirúrgico e a lipoenxertia foram realizados no centro cirúrgico e as mensurações ultrassonográficas no ambulatório, ambos no HUCFF e por um cirurgião plástico. A coleta do tecido e a enxertia foram feitas usando a mesma técnica para todas, sendo apenas o processamento diferente de acordo com o grupo de intervenção.

As pacientes selecionadas foram distribuídas alternadamente entre dois grupos de mesma quantidade: um recebeu enxerto autólogo de tecido adiposo tratado por decantação e o outro por filtração em peneira. Além disso, foram coletados dados de doenças crônicas, tipo de reconstrução de mama e terapias oncológicas.

Marcação pré-operatória e definição do ponto de mensuração

Primeiro, a mama não reconstruída é dividida em quatro quadrantes, usando o mamilo como referência horizontal e uma linha vertical do ponto médio da clavícula até o sulco inframamário. Esse ponto médio também é marcado na clavícula contralateral para orientar a mama reconstruída. O centro do tórax é demarcado pela fúrcula esternal. Com um compasso de 20 cm, o ponto do mamilo original é transferido para a mama reconstruída, guiando-se pela linha esternal e permitindo a marcação dos quatro quadrantes na mama reconstruída.

Dentro do quadrante mamário com queixa de baixa volu-mização, é estabelecido um ponto fixo para mensuração da espessura subcutânea durante todo o acompanhamento. Esse ponto é definido como a região central do quadrante e a menor distância desse ponto até a clavícula e até a divisão do quadrante mamário mais próxima é registrada para que o ponto seja reprodutível nas próximas mensurações. ►Fig. 1.

Fig. 1 - Marcação do ponto de mensuração da espessura subcutânea com a ultrassonografia.

Avaliação ultrassonográfica

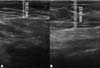
A mensuração da espessura do tecido subcutâneo é realizada de forma vertical, do ponto mais alto (logo na transição da epiderme) ao ponto mais baixo (na transição com o tecido muscular) da espessura de tecido subcutâneo. Essa medida é de fácil reprodutibilidade para quem possui aptidões básicas em ultrassonografia. ►Fig. 2. A medida da espessura de tecido subcutaneo na mama lipoenxertada foi realizada no pré- e pós-operatório imediato da lipoenxertia, e após 15,30, 90 e 180 dias. As medidas foram feitas atraves da ultrassonografia, em milimetros, medindo a distancia vertical do ponto mais superior (proximo à epiderme) ao mais inferior (proximo à musculatura adjacente) do tecido subcuta neo no ponto previamente definido. Foi utilizado equipamento de ultrassom modelo GE, LOGIQP6 (GE Healthcare) com uso de sonda linear de 11L com faixa de frequencia de 12 a 6 MHz, operado por cirurgião com pós graduação lato sensu em ultrassonografia geral. ►Fig. 3.

Fig. 2 - Ponto de mensuração ultrassonográfica em tecido subcutâneo. (A) Pré-operatório. (B) Pós-operatório.
Fig. 3 - Ultrassonografia do grupo gordura decantada. (A) Pré-operatório com 10,02 mm de espessura de subcutâneo. (B) Pós-operatório imediato com 23,82 mm de espessura de subcutâneo

Coleta, preparação e enxertia do tecido adiposo

A coleta do tecido adiposo foi feita da região abdominal por incisão periumbilical precedida de anestesia local com lido-caína a 2%. A gordura foi colhida com cânula de 3 mm de diâmetro e 200 mm de comprimento e seringas de 20 mL, após infiltração do subcutânea com solução salina a 0,9% com adrenalina diluída na proporção de 1:500 mil. Em seguida, o tecido adiposo foi tratado conforme o grupo designado.

No grupo da filtração ele foi passado em uma peneira de aço inox de 16 cm e no grupo da decantação foi decantado em seringas mantidas verticalmente por 20 minutos, permitindo a separacao por gravidade de seus elementos so lidos (gordura) e líquidos ((óleo, solucao de soro, solucao salina). Apos este processo, o soro e o o leo separados da gordura foram descartados, sobrando apenas a gordura pronta para ser transplantada.

A gordura filtrada ou decantada foi transferida para seringas de 3 mL ou 10 mL com uso de transferidores de inox de duas vias. Ela foi então infiltrada na mama por uma pequena incisão com ca nulas simples de um furo (2 mm de dia metro e 200 mm de comprimento), estabelecendo tiú neis que permitam a retroinjecao fracionada no subcutaneo das áreas a serem corrigidas. ►Fig. 4.

Fig. 4 - (A) Preparo da gordura filtrada. (B) Preparo da gordura decantada

Análise dos dados

Os dados da pesquisa foram analisados por meio de tabelas elaboradas pelo software Microsoft Excel (Microsoft Corp.). Correlacoes estatísticas foram realizadas no programa IBM SPSS Statistics for Windows, versão 23.0 (IBM Corp.) atraves do teste do Qui-quadrado e de razao de semelhanca, sendo considerado IC95%.

Além disso, foram feitas fotografias padronizadas em todos os dias em que as pacientes foram submetidas ao ultrassom para acompanhamento visual da evolução. Elas foram feitas em fundo preto nas incidencias anteroposterior, obHqua (direita e esquerda) e perfil (direito e esquerdo), a 1,5 m de distância utilizando uma câmera iPhone 15 Pro (Apple, Inc.).

Todas as pacientes receberam alta no mesmo dia de pos-operatorio, com prescricao de cefalosporina por via oral durante 7 dias e antinflamatorios nao-hormonais, sendo orientadas a evitar compressão da mama enxertada.

Este estudo foi aprovado pelo Comitê de Ética em Pesquisa do HUCFF de acordo com os preceitos éticos para pesquisas em humanos (CAAE 62113922.3.0000.5257).

Resultados

Ao todo, 12 pacientes participaram do estudo, sendo metade alocada em cada um dos 2 grupos de intervenção. Dessas 12, 8 foram submetidas à reconstrução imediata (66,7%) e 4 à reconstrução tardia (33,3%). Quanto ao tipo de reconstrução, 7 foram com implante mamário (58,3%) e 5 com retalho miocutâneo (41,7%). Quanto às complicações, houve 1 infecção (8,3%) e 1 cisto de óleo (8,3%). No grupo de gordura decantada, a idade média das participantes foi de 53 anos, 2 tinham hipertensão arterial sistêmica (16,7%), 1 tinha diabetes mellitus (8,3%) e todas fizeram quimioterapia neoad-juvante e radioterapia adjuvante (100%). No grupo de gordura filtrada, a idade média foi de 55 anos, 2 pacientes tinham hipertensão arterial sistêmica (16,7%) e 2 tinham diabetes mellitus (16,7%) e todas fizeram quimioterapia neoadjuvante e radioterapia adjuvante (100%).

O volume médio de gordura enxertada foi de 116,7 mL no grupo de enxerto decantado e 123,3 mL no grupo de enxerto filtrado. A espessura média inicial do tecido subcutâneo era de aproximadamente 11 mm em ambos os grupos, aumentando para 22 mm no pós-operatório imediato no grupo decantado e 23 mm no grupo filtrado.

Houve reabsorção progressiva em ambos os grupos. A evolução da espessura subcutânea média em ambos os grupos está descrita na ►Tabela 1 e na ►Fig. 5.

Tabela 1 - Espessura me dia de tecido subcutâ neo em milimetros à ultrassonografia
Período operatório Grupo enxerto decantado (n = 6) Grupo enxerto filtrado (n = 6)
Pré-operatório 11,27 11,23
Pós-operatório imediato 22,42 23,90
15 dias de pós-operatório 20,20 22,05
1 mês de pós-operatório 18,10 20,35
3 meses de pós-operatório 17,13 18,96
6 meses de pós-operatório 16,51 18,46
Tabela 1 - Espessura me dia de tecido subcutâ neo em milimetros à ultrassonografia
Fig. 5 - Gráfico de espessura média de tecido subcutâneo nos grupos enxerto decantado x enxerto filtrado

No grupo enxerto decantado, a reducãomédia, comparando-se a espessura inicial apos lipoenxertia, foi de 9,90% no 15° dia, 19,27% no 1° mes, 23,59% no 3° mes e 26,36% no 6° mes. No grupo enxerto filtrado, a reducao media, comparando-se a espessura inicial apos lipoenxertia, foi de 7,74% no 15° dia, 14,85% no 1° mes, 20,67% no 3° mes e 22,80% no 6° mes. ►Fig. 6. A evolução ao ultrassom da espessura do tecido subcutâneo antes e depois da lipoenxertia pode ser vista nas ►Figs. 7-8. Os resultados de pré-e pós-operatório de uma paciente de cada um dos grupos estão exibidos nas ►Figs. 9-10.

Fig. 6 - Gráfico de absorção média de enxerto no tecido subcutâneo nos grupos enxerto decantado x enxerto filtrado
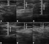
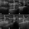
Fig. 7 - Ultrassonografia grupo gordura decantada: (A) Pre-operatorio: 10,02 mm. (B) Pós-operatOrio imediato: 23,82 mm. (C) 15 dias depOós-operatório: 22,03mm. (D) 1 mês de pos-operatorio: 20,14mm. (E) 3 meses de pos-operatorio: 18,12mm. (F) 6 meses de pos-operatorio: 17,32mm.
Fig. 8 - Ultrassonografia grupo gordura filtrada: (A) Pre-operatorio: 10,72mm | (B) Pos-operatorio imediato: 20,29mm. (C) 15 dias de pos-operatOrio: 18,33 mm. (D) 1 mês de pos-operatorio: 16,78 mm. (E) 3 meses de pos-operatorio: 15,44 mm. (F) 6 meses de pos-operatorio: 15,12 mm.
Fig. 9 - Paciente do grupo enxerto decantado. (A) Pre-operatorio. (B) Pos-operatorio imediato. (C) 15 dias de pos-operatorio. | (D) 1 mês de pos-operatorio. (E) 3 meses de pos-operatorio. (F) 6 meses de pos-operatorio.
Fig. 10 - Paciente do grupo enxerto filtrado. (A) Pré-operatório. (B) Pós-operatorio imediato. (C) 15 dias de pós-operatorio. (D) 1 mês de pós-operatorio. (E) 3 meses de po s-operatorio. (F) meses de po s-operatorio.

A comparacao da reducao da espessura subcutanea em 6 meses entre as te cnicas de decantai; a o e filtrai; a o do enxerto na o mostrou diferenc a estatística significativa (p = 0,59).

Discussão

A ultrassonografia provou-se útil para mensurar com precisão a espessura subcutânea ao longo do tempo, permitindo avaliação objetiva da taxa de absorção e detecção de complicações, como necrose ou infecção - embora nenhuma tenha sido observada neste estudo. Dentre os métodos radiológicos, o fato de ser mais disponível do que a ressonância magnética e de não expor o paciente à radiação são diferenciais. Outra forma de análise, como por meio de registros fotográficos, estaria mais suscetível a interpretações subjetivas.12,13

Comparando as técnicas de preparo da gordura, não houve diferença estatisticamente significativa entre os grupos. A reabsorção foi semelhante, e fatores clínicos das pacientes não influenciaram significativamente os resultados.

Esses achados estão alinhados com a literatura existente, que aponta que a técnica da lipoenxertia, independentemente do método de preparo da gordura, apresenta um comportamento semelhante em termos de absorção do enxerto. A escolha entre filtragem e decantação, portanto, pode ser feita com base em preferências do cirurgião, pra-ticidade e disponibilidade de recursos, sem comprometer o resultado final.13,14

Além disso, é importante considerar que a lipoenxertia não tem apenas papel volumétrico, mas também biológico. A presença de células-tronco mesenquimais no tecido adiposo pode contribuir para a melhora da qualidade cutânea e regeneração tecidual, especialmente em áreas submetidas à radioterapia. O efeito trófico da gordura pode justificar, inclusive, o uso repetido da técnica para alcançar resultados mais duradouros e esteticamente satisfatórios.5,15

Outro aspecto relevante é o impacto psicológico nas pacientes. A melhora estética das mamas reconstruídas contribui para a autoestima e qualidade de vida das mulheres que enfrentaram o câncer. A lipoenxertia, por ser um procedimento de menor complexidade e com bons resultados, representa uma ferramenta importante no processo de reabilitação física e emocional.15

Adicionalmente, a ausência de complicações observadas neste estudo reforça a segurança da técnica, mesmo em pacientes com histórico de radioterapia, condição que, tradicionalmente, poderia elevar os riscos de necrose ou infecções. Esse dado é de grande relevância clínica, uma vez que muitos cirurgiões ainda demonstram receio em realizar enxertos em tecidos previamente irradiados.16,17

É pertinente destacar que a quantificação da gordura retida ao longo do tempo é essencial para a programação de procedimentos futuros. A tendência de reabsorção parcial obriga o cirurgião a considerar possíveis sessões adicionais para alcançar o resultado estético almejado. O entendimento da taxa média de absorção permite melhor planejamento terapêutico e alinhamento de expectativas com as pacientes.5,10

No cenário atual, existe uma carência de estudos longitudinais com grande amostragem que correlacione variáveis como idade, índice de massa corporal, comorbidades e resposta tecidual à enxertia. Explorar essas relações pode esclarecer melhor quais perfis de pacientes apresentam maior ou menor absorção, refinando os critérios de indicação e individualização do tratamento.9

Entretanto, para validação mais robusta desses achados, seriam necessários estudos com amostras maiores, metodologia randomizada e avaliação em longo prazo. A padronização das técnicas de preparo, enxertia e mensuração dos resultados também é fundamental para permitir comparações consistentes entre diferentes estudos e populações.17

O enriquecimento do enxerto com SVF, ADSCs e plasma rico em plaquetas vem sendo estudado como uma estratégia promissora para otimizar os resultados da lipoenxertia, embora ainda sejam necessários mais dados para padronizar essas abordagens na prática clínica.9,15,18

Este estudo apresenta como limitação central o número reduzido de pacientes incluídas na amostra, totalizando 12 mulheres submetidas à lipoenxertia mamária. Embora os resultados obtidos sejam encorajadores e reforcem a segurança e eficácia da técnica no contexto analisado, o tamanho amostral restrito compromete a robustez estatística dos achados e limita a capacidade de generalização para a população feminina em geral. Além disso, a inclusão de pacientes provenientes de um único centro e com critérios específicos de elegibilidade pode introduzir um viés de seleção, não refletindo de forma abrangente a diversidade de casos clínicos encontrados na prática diária. Dessa forma, recomenda-se cautela na extrapolação dos resultados apresentados. Estudos futuros com amostras maiores, multicên-tricos e com seguimento longitudinal mais amplo são necessários para validar os achados deste trabalho e fornecer evidências mais consistentes quanto à aplicabilidade e durabilidade dos resultados da lipoenxertia mamária.

Conclusão

Os volumes de tecido adiposo enxertados foram parcialmente absorvidos ao longo do tempo em ambas as técnicas de processamento, com taxa de reabsorção media de 25% apo s 6 meses. Na o houve diferenca significativa entre os grupos estudados (enxerto filtrado e decantado) no que diz respeito a reabsorçao do enxerto.

Referências

1. Mazzola RF, Mazzola IC. The fascinating history of fat grafting. J Craniofac Surg 2013;24(04):1069-1071. Doi: 10.1097/SCS.0b013e318292c447

2. Del Vecchio D, Fichadi H. Autologous Fat Transplantation - A Paradigm Shift in Breast Reconstruction. In: Salgarello M, editora. Breast Reconstruction - Current Techniques. Londres: InTechOpen; 2012. Disponível em: https://www.intechopen.com/chapters/27951

3. Petit JY, Botteri E, Lohsiriwat V, et al. Locoregional recurrence risk after lipofilling in breast cancer patients. Ann Oncol 2012;23(03): 582-588. Doi: 10.1093/annonc/mdr158

4. Delay E, Garson S, Tousson G, Sinna R. Fat injection to the breast: technique, results, and indications based on 880 procedures over 10 years. Aesthet Surg J 2009;29(05):360-376. Doi: 10.1016/j.asj.2009.08.01

5. Al Qurashi AA, Shah Mardan QNM, Alzahrani IA, et al. Efficacy of Exclusive Fat Grafting for Breast Reconstruction: An Updated Systematic Review and Meta-analysis. Aesthetic Plast Surg 2024;48(23):4979-4985. Doi: 10.1007/s00266-024-03978-3

6. Sarrami SM, Humar P, Marallo MJ, Roy E, Mehta M, De La Cruz C. High-Volume Fat Grafting With and Without Goldilocks Mastectomies Show Successful Clinical Outcomes for Breast Reconstruction. Ann Plast Surg 2025;94(4S, Suppl 2)S233-S237. Doi: 10.1097/SAP.0000000000004212

7. Instituto Nacional de Câncer (INCA). Estatísticas de câncer. Rio de Janeiro: INCA; 2022. Disponível em: https://www.gov.br/inca/pt-br/assuntos/cancer/numeros/

8. Dayal A, Bhatia A, Hsu JT. Fat grafting in aesthetics. Clin Dermatol 2021 ;40(01 ):35-44 Doi: 10.1016/j.clindermatol.2021.08.010 PubMed

9. Strong AL, Cederna PS, Rubin JP, Coleman SR, Levi B. The Current State of Fat Grafting: A Review of Harvesting, Processing, and InjectionTechniques. Plast Reconstr Surg 2015;136(04):897-912. Doi: 10.1097/PRS.0000000000001590

10. Kanchwala SK, Glatt BS, Conant EF, Bucky LP. Autologous fat grafting to the reconstructed breast: the management of acquired contour deformities. Plast Reconstr Surg 2009;124(02):409-418. Doi: 10.1097/PRS.0b013e3181aeeadd

11. Zocchi ML, Zuliani F. Bicompartmental breast lipostructuring. Aesthetic Plast Surg 2008;32(02):313-328. Doi: 10.1007/s00266-007-9089-3

12. Fraga MFP, Perin LF, Helene A Júnior, Aching NC. Volumetric assessment of breasts in patients undergoing fat grafting with pre-operative expansion (BRAVA®): experience of Santa Casa de São Paulo. Revista Brasileira de Cirurgia Plástica (RBCP). Brazilian Journal of Plastic Sugery [Internet] 2017;32(01):64-71. Doi: 10.5935/2177-1235.2017RBCP0009

13. Veber M, Tourasse C, Toussoun G, Moutran M, Mojallal A, Delay E. Radiographic findings after breast augmentation by autologous fat transfer. Plast Reconstr Surg 2011;127(03):1289-1299. Doi: 10.1097/PRS.0b013e318205f38f

14. Meruane MA, Rojas M, Marcelain K. The use of adipose tissue-derived stem cells within a dermal substitute improves skin regeneration by increasing neoangiogenesis and collagen synthesis. Plast Reconstr Surg 2012;130(01):53-63. Doi: 10.1097/PRS.0b013e3182547e04

15. Muntean MV, Pop IC, Ilies RA, Pelleter A, Vlad IC, Achimas-Cadariu P. Exploring the Role of Autologous Fat Grafting in Implant-Based Breast Reconstruction: A Systematic Review of Complications and Aesthetic Results. J Clin Med 2025;14(12):4073. Doi: 10.3390/jcm14124073

16. Papadopoulos S, Vidovic G, Tio J, et al. Fat grafting in breast surgery: a retrospective single-breast centre 6-year experience. Arch Gynecol Obstet 2024;310(05):2587-2594. Doi: 10.1007/s00404-024-07708-7

17. Gentile P, Cervelli V. Systematic review: Oncological safety of reconstruction with fat grafting in breast cancer outcomes. J Plast Reconstr Aesthet Surg 2022;75(11):4160-4168. Doi: 10.1016/j.bjps.2022.08.026

18. Debuc B, Gendron N, Cras A, et al. Improving Autologous Fat Grafting in Regenerative Surgery through Stem Cell-Assisted Lipotransfer. Stem Cell Rev Rep 2023;19(06):1726-1754. Doi: 10.1007/s12015-023-10568-4











1. Departmento de Cirurgia Plástica, Hospital Universitário Clementino Fraga Filho, Universidade Federal do Rio de Janeiro (UFRJ), Rio de Janeiro, RJ, Brazil
2. Universidade Federal do Rio de Janeiro (UFRJ), Rio de Janeiro, RJ, Brazil
3. Afya Universidade Unigranrio, Rio de Janeiro, RJ, Brazil
4. Faculdade de Medicina de Petrópolis, Petrópolis, RJ, Brazil
5. Pontifícia Universidade Católica do Rio de Janeiro (PUC-Rio), Rio de Janeiro, RJ, Brazil

Disponibilidade dos Dados

Os dados serão disponibilizados mediante solicitação ao autor correspondente.

Suporte Financeiro Os autores declaram que não receberam suporte financeiro de agências dos setores público, privado ou sem fins lucrativos para a realização deste estudo.

Endereço para correspondência Marcos Louro, PhD, Departmento de Cirurgia Plástica, Hospital Universitário Clementino Fraga Filho,, Universidade Federal do Rio de Janeiro (UFRJ), Rio de Janeiro, Rio de Janeiro, Brazil (e-mail: drmarcoslouro@gmail.com).

Artigo submetido: 29/07/2025.
Artigo aceito: 16/12/2025.

Conflito de Interesses Os autores não têm conflito de interesses a declarar.

Editor-chefe: Dov Charles Goldenberg.